Farmacología

Aspirina de por vida para todos en la prevención secundaria del síndrome coronario crónico¿Sigue siendo sacrosanto o se justifica una reevaluación?

21 octubre 2020

La totalidad de la evidencia reciente apoya el estudio adicional de la necesidad universal de aspirina de por vida en prevención secundaria para todos los adultos con síndrome coronario crónico, particularmente en pacientes mayores estables que tienen mayor riesgo de hemorragia inducida por aspirina. Circulation octubre de  2020

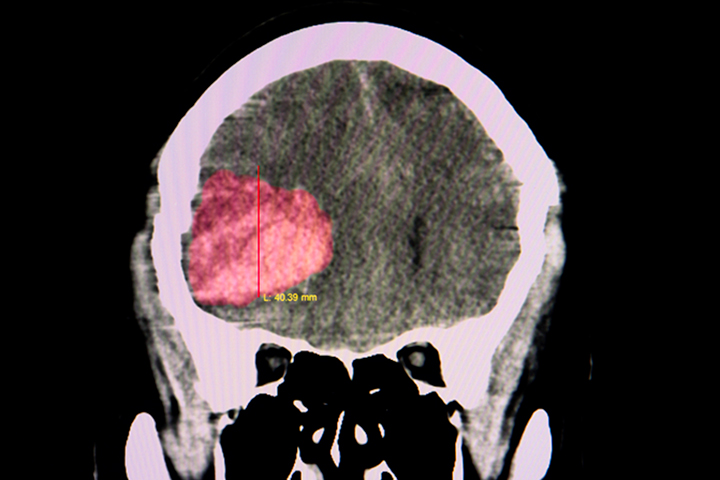
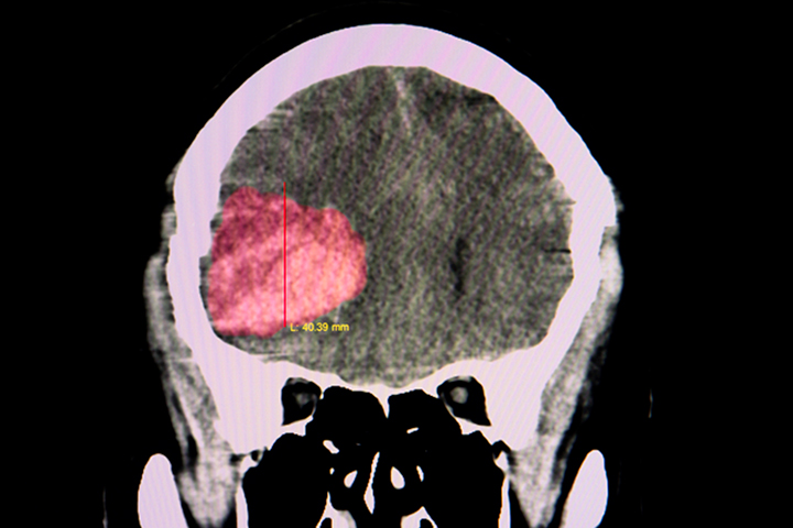
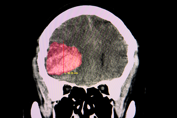
Terapia antiplaquetaria después de un accidente cerebrovascular por hemorragia intracerebral

28 mayo 2019

Lancet, 22 de mayo de 2019  Estos resultados excluyen todo, excepto un aumento muy modesto en el riesgo de hemorragia intracerebral recurrente con terapia antiplaquetaria en pacientes en terapia antitrombótica para la prevención de la enfermedad vascular oclusiva cuando desarrollaron hemorragia intracerebral. El riesgo de hemorragia intracerebral recurrente es probablemente demasiado pequeño para exceder los beneficios establecidos de la terapia antiplaquetaria para la prevención secundaria.

Prevención cardiovascular en el paciente diabético

05 abril 2018

Actualización de las guías de la American Diabetes Association Annals of Internal Medicine, 3 de abril de 2018

Categorias

Etiquetas