Farmacología

Incidencia de segundos cánceres primarios en supervivientes de cáncer de pulmón según tratamiento oncológico

13 agosto 2025

Los pacientes tratados por cáncer de pulmón con inmunoterapia y terapia dirigida presentaron una incidencia significativamente menor de segundo cáncer primario que los tratados con quimioterapia. El tabaquismo fue un factor asociado clave. Fortalecer el seguimiento oncológico y promover intervenciones para abordar los factores de riesgo modificables es esencial para optimizar los resultados a largo plazo en los supervivientes de cáncer de pulmón. The Lancet Regional Health Europe, 12 de agosto de 2025.

Enfermedad pulmonar intersticial asociada a nuevos agentes antineoplásicos para el tratamiento del cáncer de mama

20 marzo 2025

Este estudio detectó indicios de un informe desproporcionado de enfermedad pulmonar intersticial en pacientes tratadas con algunos de los nuevos agentes antineoplásicos para cáncer de mama, con una asociación más fuerte que la de los quimioterápicos. La edad avanzada y el bajo peso corporal se asociaron con mayor frecuencia de informes de la enfermedad. eClinicalMedicine, 18 de marzo de 2025.

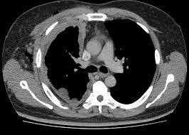
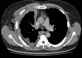
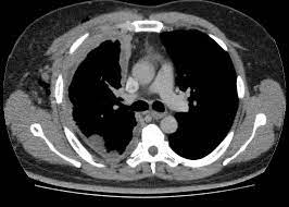
Quimioterapia con o sin decorticación con pleurectomía extendida para el mesotelioma

13 mayo 2024

En pacientes con con mesotelioma pleural resecable la quimioterapia asociada con una decorticación con pleurectomía extendida se asoció con una peor supervivencia a 2 años y eventos adversos más graves que la quimioterapia sola. The Lancet Respiratory Medicine 10 de mayo de 2024.

Categorias

Etiquetas