Farmacología
Necrólisis Epidérmica Tóxica: Revisión Clínica y Terapéutica
                    07 diciembre 2022
                
            
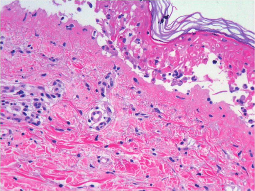
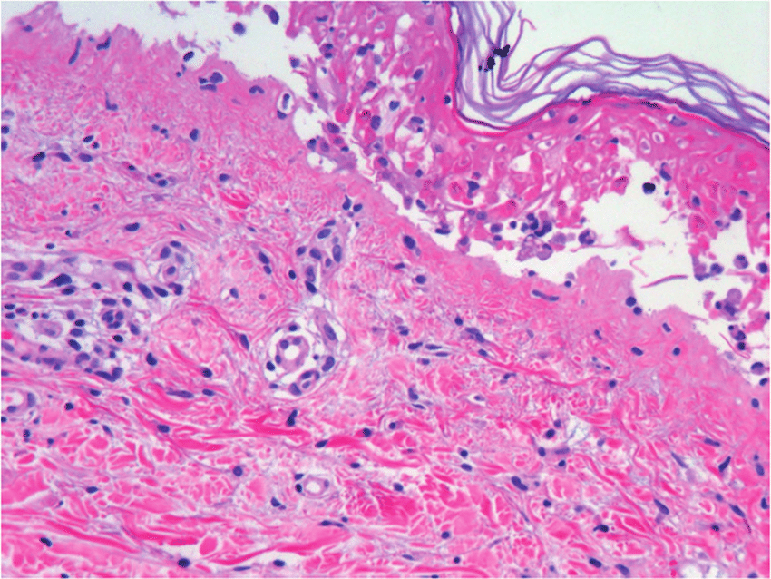
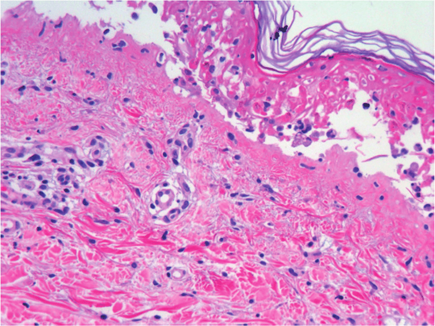
            En general, su etiología y presentación son consensuadas, definiéndose como una necrólisis generalizada de la epidermis que se produce como una respuesta inmune descontrolada a un fármaco específico o a uno de sus metabolitos, destacando el cotrimoxazol y el alopurinol como los más importantes. Esta necrólisis conduce a un desprendimiento masivo de la capa epidérmica de la piel, con mayor incidencia en el torso, miembros superiores y cara. Eur. Burn J. 8 agosto 2022
Categorias
- Información de Interes
- Enfermedades infecciosas
- Coronavirus
- Cardiología
- CIMEFF Centro de Información de Medicamentos Fundación Femeba
- Alertas de Medicamentos
- Salud Pública
- Endocrinología
- Oncología
- Psiquiatría / Psicología
- Neurología
- Pediatría
- Seguridad del paciente
- Políticas de medicamentos
- Gerontología
- Nutrición
- Ejercicio profesional
- Uso Racional
- Obstetricia
- Ginecología
- Neumonología
- Gastroenterología
- Investigación
- Hematología
- Dolor
- Nefrología
- Reumatología
- Cirugía
- Traumatología
- Alertas
- Medicina general
- Cuidados Intensivos
- Políticas de medicamentos
- Urología
- Etica e investigación
- Dermatología
- Folia DOC
- Hepatología
- Salud Pública
- Infectología
- Coronavirus
- Cuidado Paliativo
- Gripe A
- Medicamentos Y Seguridad
- Salud_ambiental
- Prescripcion
- Otorrinolaringología
- Oftalmología
- DENGUE
- Alergia e inmunología
- Virus del ebola
- Emergencia
- Tabaco
- Inteligencia Artificial
- Industría farmacéutica
- Odontología
- Legislacion
- Toxicología
- Cannabis Medicinal
- Educación
- Psicofármacos
- Novedades
- Genética
- Hipertensión
- Cardiología
- Calidad
- Documentos_de_interes
- Farmacología
- Remediar
- Complementaria
- Informática
- Curso Act Comunidad
- Imágenes
- Enlaces_de_interes
- corona
- Anestesiología
- Economía
- Principal
- CIMEFF Centro de Información de Medicamentos Fundación Femeba
- COVID-19 prolongado
- Agrotoxicos
- Informacion_al_publico
- Boletines
- Cardiol
- Calendario nacional de Vacunacion
- Boletines
- ANMAT farmacovigilancia. Ultimas disposiciones
- Farmacia
- Informes
- Salud de la Mujer
- Material de cursos
- endocrino
- daralutamida
- Complicaciones post-internación
- CIMEFF Centro de Información de Medicamentos Fundación Femeba
- TICs
- apalutamida
- FTN Formulario Terapeutico Nacional
- enzalutamida
- Consultas de Bioética
- Telemedicina
