Farmacología

Prevalencia mundial del síndrome de Stevens-Johnson y necrólisis epidérmica tóxica asociados a antibióticos

24 febrero 2023

En esta revisión sistemática y metanálisis de todas las series de casos, los antibióticos se asociaron con más de una cuarta parte de los casos de síndrome de Stevens-Johnson y la necrólisis epidérmica tóxica descritos en todo el mundo. La clase de sulfonamida se asoció con el 32 % de los casos, seguida de las penicilinas (22 %), las cefalosporinas (11 %), las fluoroquinolonas (4 %) y los macrólidos (2 %). Estos hallazgos resaltan la importancia de la administración de antibióticos, la educación y la concientización de los médicos, y sopesar la evaluación de riesgo-beneficio de la elección y duración de los antibióticos. JAMA Dermatol. 15 de febrero de 2023

Necrólisis Epidérmica Tóxica: Revisión Clínica y Terapéutica

07 diciembre 2022

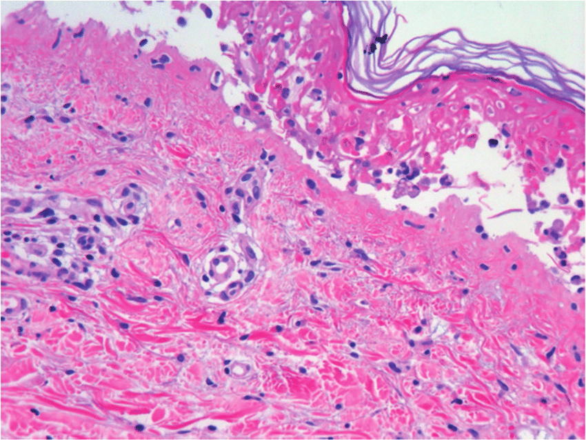
En general, su etiología y presentación son consensuadas, definiéndose como una necrólisis generalizada de la epidermis que se produce como una respuesta inmune descontrolada a un fármaco específico o a uno de sus metabolitos, destacando el cotrimoxazol y el alopurinol como los más importantes. Esta necrólisis conduce a un desprendimiento masivo de la capa epidérmica de la piel, con mayor incidencia en el torso, miembros superiores y cara. Eur. Burn J. 8 agosto 2022

Síndrome de Stevens-Johnson y necrólisis epidérmica tóxica: revisión del diagnóstico y el tratamiento

06 octubre 2021

En esta revisión panorámica, se buscaron publicaciones que abordaran los avances recientes en el diagnóstico y el tratamiento de la enfermedad. Debido a la naturaleza rara de la enfermedad, hay una falta de ensayos controlados aleatorios prospectivos y realizarlos en el futuro proporcionaría información valiosa sobre el manejo de esta enfermedad. Medicina (Kaunas), 28 de agosto de 2021

Categorias

Etiquetas