Farmacología
Irbesartán retrasa la dilatación aórtica en el sindrome de Marfan
                    12 diciembre 2019
                
            
            En niños y adultos jóvenes el antagonista del receptor de angiotensina II redujo la velocidad de progresión del diámetro aórtico. The Lancet, 10 de diciembre de 2019
Alertas de seguridad: diclofenac potásico / lenvatinib
                    07 octubre 2019
                
            
            Diclofenac: sindrome de Kounis / Lenvatinib: aneurisma y disección aórtica. emc, 3 de octubre de 2019
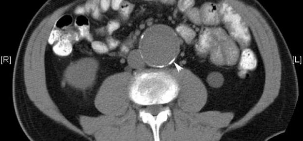
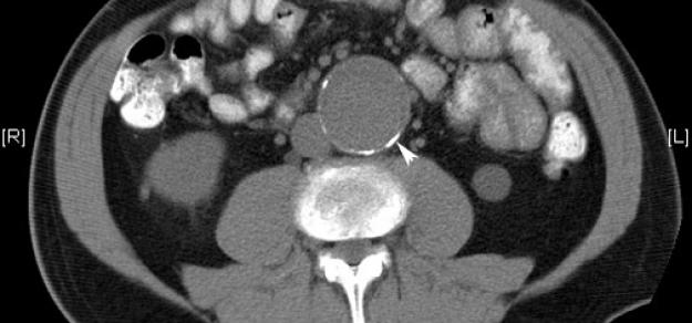
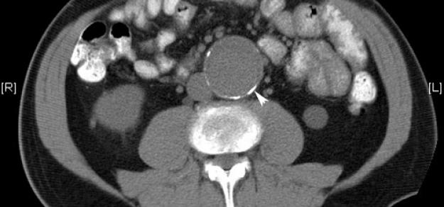
Prescripción de metformina y aneurisma aórtico
                    03 abril 2019
                
            
            Heart, 1 de abril de 2019 la prescripción de metformina podría limitar la expansión de la AAA entre los pacientes con esta enfermedad, y podría estar involucrada con una menor incidencia de aneurisma aórtico y eventos de aneurisma aórtico
Drug Safety Update , Noviembre 2018
                    15 noviembre 2018
                
            
            