Farmacología

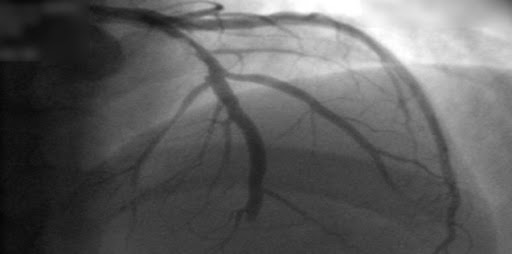
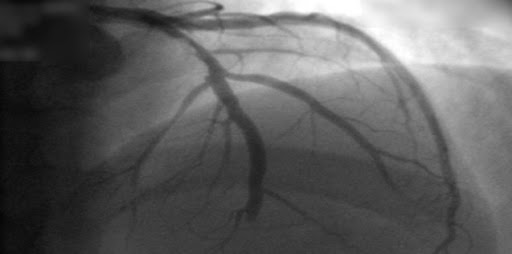
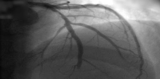
Tomografía computada versus angiografía invasiva en la angina de pecho estable

28 abril 2022

En los pacientes remitidos para cateterismo coronario por dolor torácico estable y con probabilidad intermedia de enfermedad coronaria antes de la prueba, la evaluación inicial por tomografía computada tuvo un riesgo de eventos cardiovasculares mayores similar a los de la evaluación invasiva, pero una menor frecuencia de complicaciones mayores relacionadas con el procedimiento. New England Journal of Medicine, 28 de abril de 2022.

Diagnóstico y tratamiento de la angina estable. Una revisión

05 mayo 2021

Para los pacientes con angina estable, se debe hacer hincapié en optimizar los factores de estilo de vida y los medicamentos preventivos, como los hipolipemiantes y los antiagregantes plaquetarios, para reducir el riesgo de eventos cardiovasculares y muerte. Se deben iniciar medicamentos antianginosos, como betabloqueantes, nitratos o bloqueadores de los canales de calcio, para mejorar los síntomas de la angina. La revascularización con intervención coronaria percutánea debe reservarse para pacientes en los que los síntomas de la angina influyen negativamente en la calidad de vida, generalmente después de un ensayo de tratamiento médico antianginoso. La toma de decisiones compartida con un paciente informado es importante para el tratamiento eficaz de la angina estable. JAMA,4 de mayo de 2021

Carvedilol / Ivabradina: Aporta en situaciones concretas

26 abril 2019

FET Año 2019 - Número 1CADIME, 26 de abril de 2019 tratamiento sintomático de la angina crónica estable y/o IC-FEr crónica, en ritmo sinusal y frecuencia cardiaca ≥75 latidos/minuto, en pacientes ya controlados previamente con dosis estables de carvedilol e ivabradina administrados en preparados separados.

Categorias

Etiquetas