Farmacología

Tratamiento guiado por angiografía coronaria por TC de pacientes con angina de pecho estable: resultados a 10 años

27 enero 2025

El tratamiento guiado por angiografíca coronaria por tomografía computada (ACTC) de los pacientes con dolor torácico estable se asoció con una reducción sostenida de la muerte por enfermedad coronaria o infarto de miocardio no mortal. La identificación de la aterosclerosis coronaria mediante ACTC mejora la prevención de la enfermedad cardiovascular a largo plazo en pacientes con dolor torácico estable. The Lancet, 25 de enero de 2025.

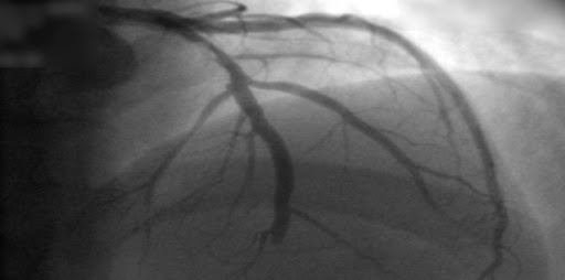
Tomografía computada versus angiografía invasiva en la angina de pecho estable

28 abril 2022

En los pacientes remitidos para cateterismo coronario por dolor torácico estable y con probabilidad intermedia de enfermedad coronaria antes de la prueba, la evaluación inicial por tomografía computada tuvo un riesgo de eventos cardiovasculares mayores similar a los de la evaluación invasiva, pero una menor frecuencia de complicaciones mayores relacionadas con el procedimiento. New England Journal of Medicine, 28 de abril de 2022.

Coronariografía por tomografía computada vs Prueba de esfuerzo en el diagnóstico de enfermedad coronaria

03 octubre 2017

Ambas estrategias tuvieron similar mortalidad y necesidad de internaciones, si bien la tomografía computada mostró reducción de infartos de miocardio y aumento de procedimientos invasivos diagnósticos y terapéuticos. JAMA Internal Medicine, 2 de octubre de 2017

Categorias

Etiquetas