Farmacología
Aspirina tan eficaz como rivaroxaban para prevenir trombosis venosa por artroplastia de cadera o rodilla
26 febrero 2018
New England Journal of Medicine, 22 de febrero de 2018
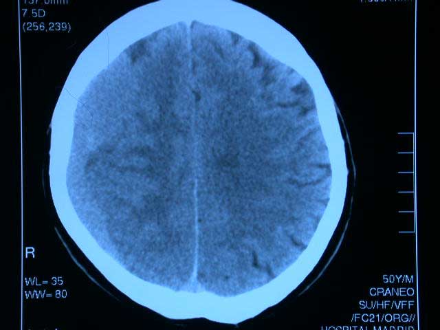
Fármacos antitrombóticos y hematoma subdural
01 marzo 2017
El uso creciente de fármacos anticoagulantes y antiagregantes se asocia a un aumento de hematomas subdurales, especialmente en los mayores de 75 años. La combinación de antagonistas de vitamina K con antiplaquetarios potencia el riesgo. JAMA, 28 de febrero de 2017
Idarucizumab. Sacylime nº3 2016
03 octubre 2016