Farmacología

Eficacia de los tratamientos antiagregantes luego de la intervención coronaria percutánea

10 septiembre 2018

Ticagrelor combinado con aspirina durante 1 mes, seguido de ticagrelor solo durante 23 meses, no fue superior a 12 meses de terapia antiagregante estándar seguidos por 12 meses de aspirina sola. The Lancet, 27 de agosto de 2018

Duración óptima de la antiagregación dual luego de un stent coronario

27 marzo 2018

La antiagregación dual por 6 meses no fue inferior a la de 12 meses de duración en el desenlace primario compuesto ni en mortalidad por todas las causas; tuvo mayor inicidencia de infarto de miocardio pero menor riesgo de sangrado. The Lancet, 12 de marzo de 2018

Triple terapia antiagregante plaquetaria con aspirina, clopidogrel y dipiridamol frente a clopidogrel, aspirina o dipiridamol solos en pacientes con isquemia cerebral aguda (TARDIS): ensayo de superioridad de fase 3 aleatorizado y abierto

26 diciembre 2017

Lancet, 20 de diciembre de 2017 Después de 3096 pacientes asignados aleatoriamente (más del 70% del tamaño de muestra objetivo de 4200 pacientes), el comité de control de datos recomendó que se detuviera el ensayo por futilidad (para el criterio de valoración primario y debido a un mayor riesgo de hemorragia, en particular hemorragia fatal, en el grupo de terapia intensiva En pacientes con isquemia cerebral reciente, el tratamiento antiagregante plaquetario intensivo (triple terapia) no reduce la incidencia ni la gravedad de los accidentes cerebrovasculares recurrentes o el AIT, pero sí aumenta significativamente el riesgo de hemorragia mayor. La triple terapia antiplaquetaria no debe usarse en la práctica clínica habitual.

Eficacia y seguridad de los inhibidores de la agregación plaquetaria en la prevención de la enfermedad cardiovascular y el accidente cerebrovascular isquémico en adultos mayores

14 noviembre 2017

BMC Geriatrics, 16 de octubre de 2017 El uso de AAS para la prevención primaria de la enfermedad cardiovascular (ECV y la terapia combinada de ácido acetilsalicílico (AAS) y clopidogrel para la prevención secundaria de eventos vasculares en personas mayores puede no estar justificado. Puede recomendarse el uso de anticoagulantes orales en lugar de AAS en personas mayores con fibrilación auricular.

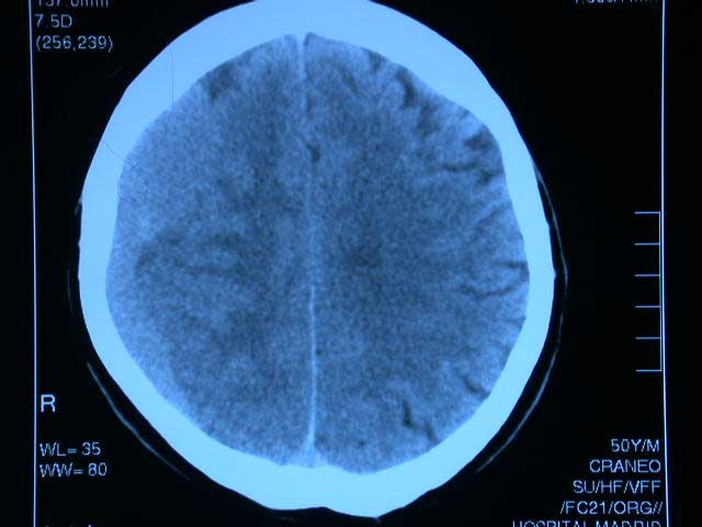
Fármacos antitrombóticos y hematoma subdural

01 marzo 2017

El uso creciente de fármacos anticoagulantes y antiagregantes se asocia a un aumento de hematomas subdurales, especialmente en los mayores de 75 años. La combinación de antagonistas de vitamina K con antiplaquetarios potencia el riesgo. JAMA, 28 de febrero de 2017

Categorias

Etiquetas