Farmacología

¿Hidratación restrictiva o generosa para la cirugía abdominal?

10 mayo 2018

Un nuevo ensayo clínico muestra resultados similares de las dos estrategias, aunque con más casos de lesión renal aguda con la restricción de fluidos. Un enfoque “moderadamente liberal” de la hidratación podría ser la mejor alternativa. New England Journal of Medicine, 10 de mayo de 2018

Manejo de la medicación crónica en el periodo perioperatorio

31 enero 2018

Al menos el 5% de los pacientes quirúrgicos con enfermedades crónicas presentan complicaciones directamente atribuibles a la retirada de su medicación, especialmente con medicamentos cardiovasculares INFAC Nº 9, 2017

Ejercicios respiratorios previenen la neumonía postoperatoria

29 enero 2018

Una sesión preoperatoria de 30 minutos para educación en fisioterapia respiratoria redujo a la mitad las complicaciones pulmonares. BMJ, 24 de enero de 2018

Recurrencia de los síntomas luego de la cirugía laparoscópica antirreflujo

13 septiembre 2017

Alrededor de 1 de cada 6 pacientes requiere tratamiento a largo plazo con inhibidores de la bomba de protones o una segunda cirugía. JAMA, 12 de septiembre de 2017

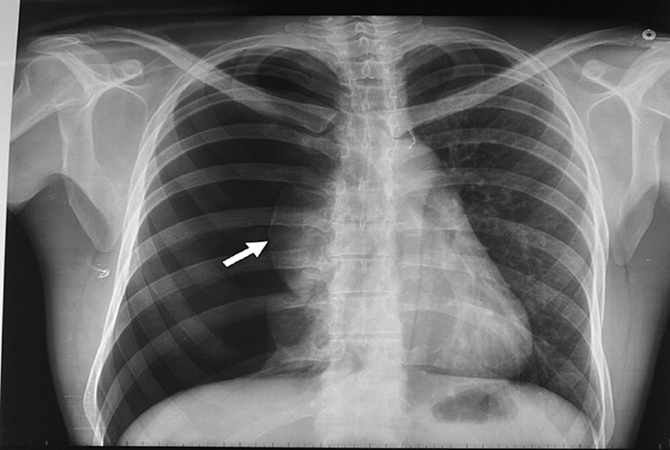
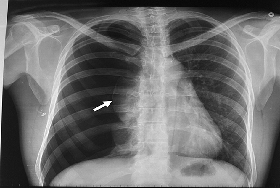
Neumotórax espontáneo: aspiración con aguja vs drenaje con tubo

05 junio 2017

El tratamiento inicial de aspiración con aguja obtiene mejore resultados inmediatos y acorta los tiempos de internación. European Respiratory Journal, abril de 2017

Categorias

Etiquetas