Farmacología

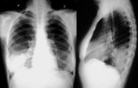
Relación entre los resultados de la radiografía de tórax y el inicio del tratamiento antibiótico en el tratamiento de la neumonía adquirida en la comunidad por médicos generales

04 diciembre 2024

En los pacientes con sospecha de neumonía adquirida en la comunidad (NAC), los médicos de cabecera tuvieron sistemáticamente en cuenta los resultados de las pruebas de respuesta positiva para iniciar el tratamiento antibiótico y tuvieron mucho menos en cuenta las pruebas de respuesta negativa. Estos resultados justifican la aclaración de qué se debe hacer en los casos de sospecha clínica de NAC sin confirmación radiológica. The Annals of Family Medicine, noviembre de 2024,

Cribado radiográfico y endoscópico para el cáncer gástrico: revisión

14 marzo 2023

Se analizaron 7 estudios observacionales con calidad limitada, realizados en regiones de alta prevalencia de la enfermedad. El cribado redujo la mortalidad por cáncer gástrico entre los pacientes estudiados, pero el efecto no fue significativo en el análisis por "intención de tratar", tanto para endoscopía como para estudios radiológicos. The Lancet Regional Health Western Pacific, 11 de marzo de 2023.

Categorias

Etiquetas