Farmacología

Formación y práctica profesional del personal de salud de medicina familiar y comunitaria en la Región de las Américas

11 febrero 2026

Aunque la práctica profesional de la medicina de familia y la medicina familiar y comunitaria se ha establecido desde hace más de tres decenios en la Región, este campo enfrenta importantes desafíos en cuanto a su implementación. Se necesitan inversiones estratégicas para fortalecer el reconocimiento y el valor percibido de la medicina familiar y comunitaria como especialidad, garantizar unas condiciones de trabajo adecuadas y mejorar la calidad de la formación. El fortalecimiento de la medicina familiar y comunitaria mediante la adopción de medidas coordinadas por parte de múltiples partes interesadas es fundamental para crear un sistema de salud resiliente basado en la atención primaria. Rev Panam Salud Publica, 30 de diciembre de 2025

Sacrificar la atención al paciente en aras de la prevención: distorsión del papel de la medicina general

27 noviembre 2025

La expansión de las recomendaciones clínicas preventivas en atención primaria ha tenido la consecuencia no deseada de desestabilizar esta base del sistema de salud. Esta expansión del territorio médico —sin un beneficio proporcional ni una expansión temporal imposible— contribuye en gran medida a la crisis de la atención primaria en muchos países de altos ingresos. Para evitar el colapso de la atención primaria, es necesario frenar el entusiasmo por servicios de prevención clínica mínimamente beneficiosos en poblaciones asintomáticas de bajo riesgo, y devolver o reasignar la responsabilidad de la prevención primaria de enfermedades a la salud pública. BMJ 2025

Uso de medicamentos básicos en las prescripciones de la medicina general:   estudio piloto en la medicina general irlandesa

10 diciembre 2024

Es factible aplicar el índice de utilización de medicamentos del 90 % (DU90%) a las prescripciones de los médicos generales irlandeses, lo que revela que los médicos de cabecera suelen utilizar 140 medicamentos en la mayor parte de sus prescripciones.  Br J Clin Pharmacol, 8 de diciembre de 2024

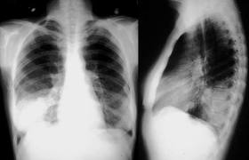
Relación entre los resultados de la radiografía de tórax y el inicio del tratamiento antibiótico en el tratamiento de la neumonía adquirida en la comunidad por médicos generales

04 diciembre 2024

En los pacientes con sospecha de neumonía adquirida en la comunidad (NAC), los médicos de cabecera tuvieron sistemáticamente en cuenta los resultados de las pruebas de respuesta positiva para iniciar el tratamiento antibiótico y tuvieron mucho menos en cuenta las pruebas de respuesta negativa. Estos resultados justifican la aclaración de qué se debe hacer en los casos de sospecha clínica de NAC sin confirmación radiológica. The Annals of Family Medicine, noviembre de 2024,

Papel de los médicos generales en la toma de decisiones compartida sobre el tratamiento paliativo del cáncer

29 octubre 2021

los médicos de cabecera pueden apoyar la toma de decisiones compartida (TDC) comprobando la calidad de una decisión y complementando y permitiendo que el proceso de TDC alcance decisiones de alta calidad. Esta conceptualización puede ayudar a comprender cómo se lleva a cabo la TDC a través de la colaboración interprofesional y proporcionar herramientas sobre cómo adoptar un papel en el proceso interprofesional de la la toma de decisiones compartida . Br J Gen Pract., 26 de octubre de 2021

Categorias

Etiquetas