Farmacología
Retraso en la administración de denosumab y riesgo de fractura en pacientes con osteoporosis
                    29 julio 2020
                
            
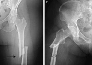
            La rápida reversión del beneficio es una preocupación con el uso de denosumab. En este estudio, si la dosis de seguimiento de denosumab se atrasaba por más de 16 semanas la tasa de fracturas vertebrales aumentaba casi 4 veces en seis meses. Annals of Internal Medicine, 28 de julio de 2020.
Beneficios y riesgos a largo plazo de los fármacos para prevención de fracturas
                    25 abril 2019
                
            
            