Farmacología

Abordaje y casos clínicos en neumonía comunitaria

14 diciembre 2018

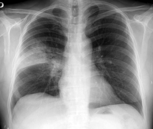
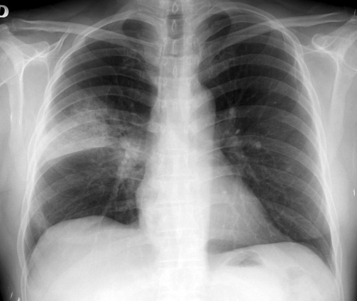
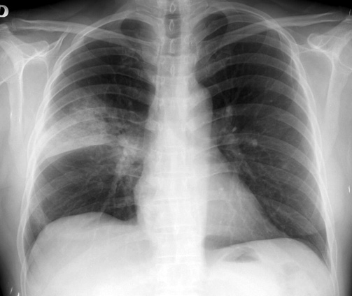
Ojo de Markov número setenta y ocho - noviembre 2018 Sacyl, 12 de diciembre de 2018 La Neumonía adquirida en la comunidad (NAC) es una infección aguda del parénquima pulmonar que se manifiesta por signos y síntomas de infección respiratoria de vías bajas en pacientes no hospitalizados o institucionalizados y que no han sido ingresados en un hospital en los 14 días previos al inicio de los síntomas. Se excluyen las neumonías que afectan a pacientes con cáncer e inmunodeprimidos

IBP y neumonía adquirida en la comunidad: ¿hay una relación causal?

17 noviembre 2016

El uso de los inhibidores de la bomba de protones (IBP) se asocia a un aumento de neumonías en pacientes ambulatorios, pero el riesgo podría explicarse por factores de confusión. BMJ, 15 de noviembre de 2016

Categorias

Etiquetas