Farmacología
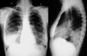
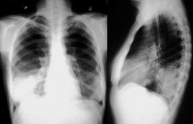
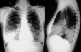
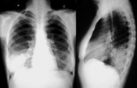
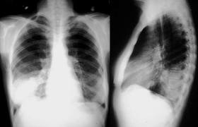
Relación entre los resultados de la radiografía de tórax y el inicio del tratamiento antibiótico en el tratamiento de la neumonía adquirida en la comunidad por médicos generales
                    04 diciembre 2024
                
            
            En los pacientes con sospecha de neumonía adquirida en la comunidad (NAC), los médicos de cabecera tuvieron sistemáticamente en cuenta los resultados de las pruebas de respuesta positiva para iniciar el tratamiento antibiótico y tuvieron mucho menos en cuenta las pruebas de respuesta negativa. Estos resultados justifican la aclaración de qué se debe hacer en los casos de sospecha clínica de NAC sin confirmación radiológica. The Annals of Family Medicine, noviembre de 2024,
Desprescripción de antibióticos: visión de los médicos generales españoles sobre una nueva estrategia para reducir el uso inadecuado de antibióticos en atención primaria
                    25 noviembre 2022
                
            
            Los médicos de este estudio emplean la estrategia de deprescripción de antibióticos. No obstante, las diferencias esenciales radican en sus puntos de vista sobre la forma en que se utiliza la estrategia. Se justifican más estudios para explorar las creencias detrás de estas percepciones y promover un uso más amplio de la deprescripción de antibióticos por parte de los médicos de cabecera. Eur J Gen Pract. 2022
Efecto de la dosis de amoxicilina y la duración del tratamiento sobre la necesidad de retratamiento con antibióticos en niños con neumonía adquirida en la comunidad. Ensayo CAP-IT
                    03 noviembre 2021
                
            
            Entre los niños con neumonía adquirida en la comunidad dados de alta de un departamento de emergencias, una unidad de observación o una sala de hospitalización, el tratamiento ambulatorio adicional con amoxicilina oral a una dosis de 35 a 50 mg / kg por día no fue inferior a una dosis de 70 a 90 mg / kg por día y 3 días no fue inferior a 7 días con respecto a la necesidad de un retratamiento antibiótico posterior. JAMA, 2 de noviembre de 2021
Retraso en la prescripción de antibióticos para las infecciones del tracto respiratorio podría reducir las tasas de nuevas consultas
                    29 abril 2021
                
            
            La prescripción tardía de antibióticos es una estrategia segura y eficaz para la mayoría de los pacientes, incluidos los de los subgrupos de mayor riesgo. La prescripción tardía se asoció con una duración de los síntomas similar a la no prescripción de antibióticos y es poco probable que conduzca a un peor control de los síntomas que la prescripción inmediata de antibióticos. La prescripción tardía podría reducir las tasas de nuevas consultas y es poco probable que se asocie con un aumento de los síntomas o la duración de la enfermedad, excepto en los niños pequeños. BMJ 28 de abril de 2021
EE.UU. : Más del 40% de las recetas de antibióticos son potencialmente inapropiadas
                    19 diciembre 2019
                
            
            