Farmacología

Percepción de la inteligencia artificial en la comunidad radiológica argentina

05 noviembre 2024

Aunque el grado de conocimiento acerca de la IA en la comunidad radiológica argentina es moderado, encontramos un alto interés y expectativas, y un bajo nivel de miedo o rechazo. Las sociedades radiológicas argentinas deberían desarrollar cursos de formación en IA. Rev Argent Radiol. 2024

Riesgos de cáncer y mortalidad de pacientes con escoliosis por exposición a la radiación: revisión sistemática y metanálisis

14 septiembre 2020

Sobre la base de 35,641 participantes con observaciones de más de 20 años desde 1912 hasta 1990, las radiografías repetidas y la dosis de radiación acumulada correspondiente dieron como resultado tasas elevadas de cáncer, cáncer de mama y mortalidad por cáncer para niños / adolescentes con escoliosis en comparación con la población general equiparada. Se recomienda que se utilicen métodos eficientes de baja radiación o libres de radiación para controlar la evolución de los niños / adolescentes con escoliosis. Eur Spine J 27 de agosto de 2020

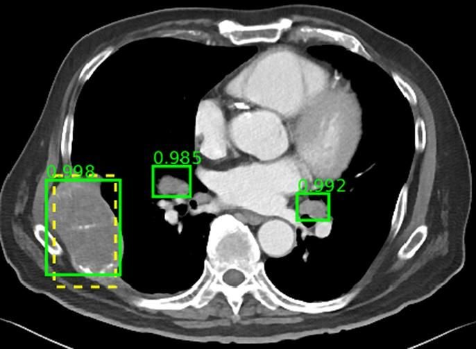
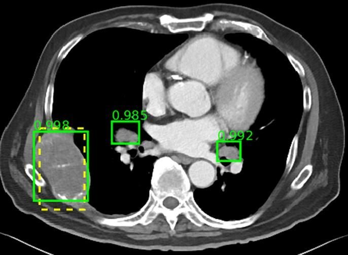
Prevalencia y resultados de hallazgos de imágenes incidentales (inesperadas)

29 junio 2018

BMJ, 18 de junio de 2018 Existe una gran variabilidad entre las diferentes técnicas de imagen tanto en la prevalencia de incidentalomas como en la prevalencia de malignidad de órganos específicos. Esta revisión general ayuda a los médicos y pacientes a sopesar los pros y los contras de solicitar escaneos de imágenes y ayuda con las decisiones de manejo después de un diagnóstico de incidentaloma. Nuestros resultados pueden respaldar la creación de pautas para ayudar en estas decisiones.

Frecuencia de tomografías computadas y riesgo de nefrectomía

27 diciembre 2017

En las áreas donde la frecuencia de estudios tomográficos es mayor también se realizan más nefrectomías, probablemente por hallazgos casuales en los estudios de imágenes. No queda claro el balance de riesgos y beneficios de esta práctica. JAMA Internal Medicine, 26 de diciembre de 2017

Categorias

Etiquetas