Farmacología

Cinco “recomendaciones de no hacer” en Oncología

12 julio 2019

El Medical Oncology Group de Australia propone cinco conductas que es preferible evitar, a través del sitio local de la inciativa Choosing Wisely. Choosing Wisely Australia, 2019.

La ilusión de la predicción del riesgo de enfermedad poligénica.

22 enero 2019

Genetics in Medicine , 12 de enero de 2019 la expectativa para predecir la enfermedad a se basa en el supuesto incorrecto de que los odds ratios derivados de las puntuaciones de riesgo poligénico que son importantes desde el punto de vista etiológico también son directamente útiles en la predicción del riesgo y en la selección de la población.

Cinco conductas a evitar en cirugía abdominal

21 enero 2019

La Sociedad de Cirujanos Gastrointestinales y Endoscópicos Estadounidenses ha publicado cinco “recomendaciones de no hacer” a través de la iniciativa Choosing Wisely. Choosing Wisely, 9 de enero de 2019

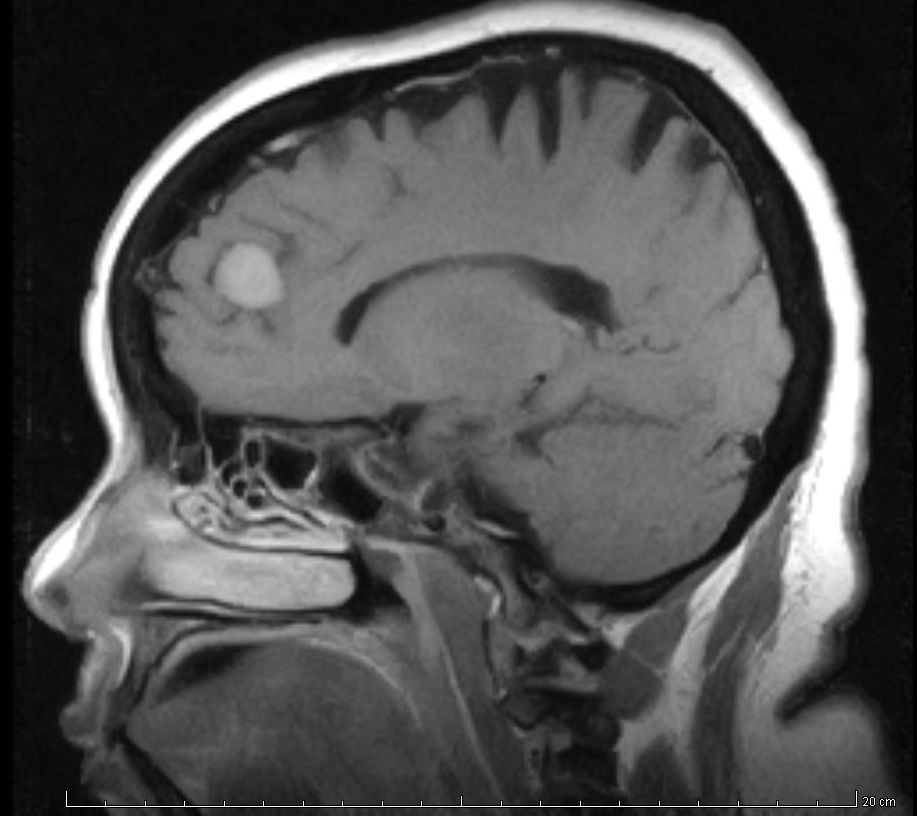
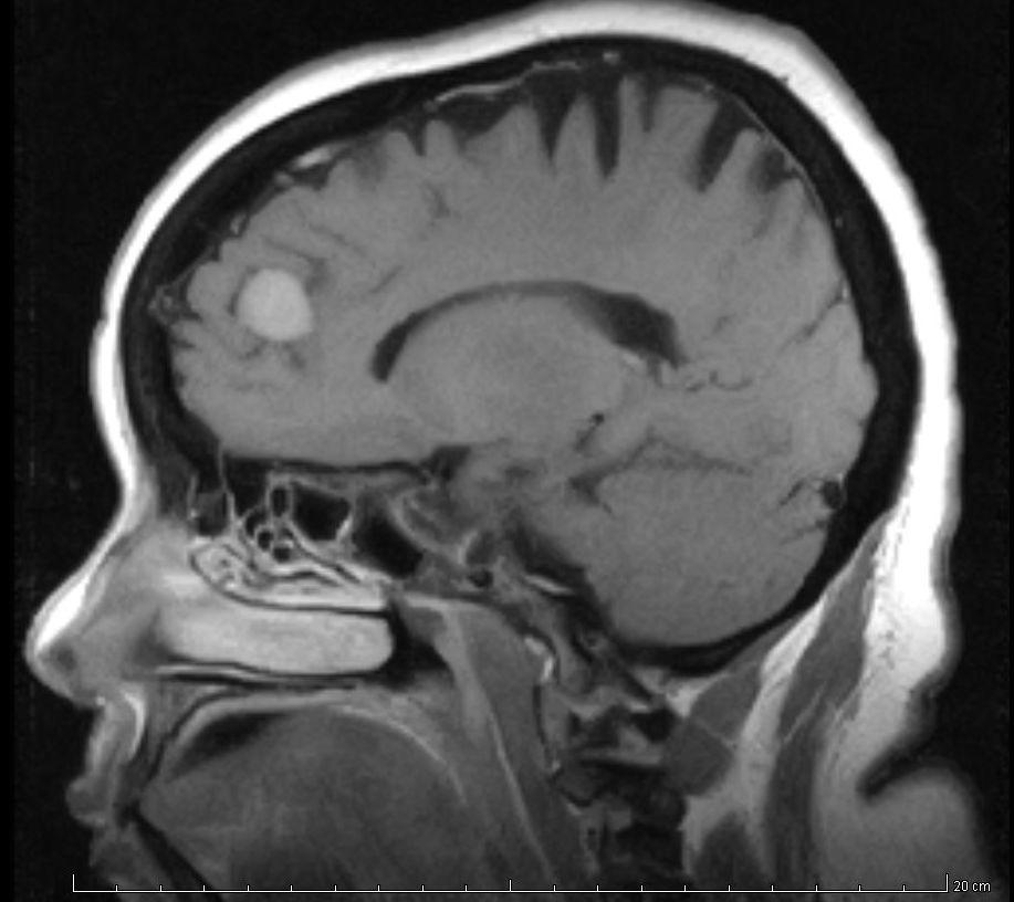
Hallazgos incidentales en resonancia magnética

26 noviembre 2018

Se revisa la frecuencia y la gravedad de los hallazgos inesperados en resonancias de cerebro, tórax y abdomen. British Medical Journal, 22 de noviembre de 2018

Epilepsia: cinco recomendaciones de “no hacer”

30 agosto 2018

La Asociación Estadounidense de Epilepsia se suma a la iniciativa Choosing Wisely analizando algunas prácticas frecuentes que tienen una relación beneficio/daño desfavorable. Choosing Wisely, 15 de agosto de 2018

Categorias

Etiquetas