Farmacología
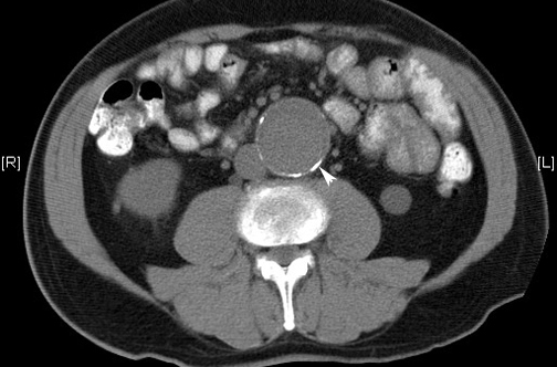
Validez de la ecografía abdominal en Atención Primaria para detección de aneurisma de aorta abdominal en varones de entre 65 y 75 años
                    14 enero 2019
                
            
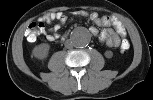
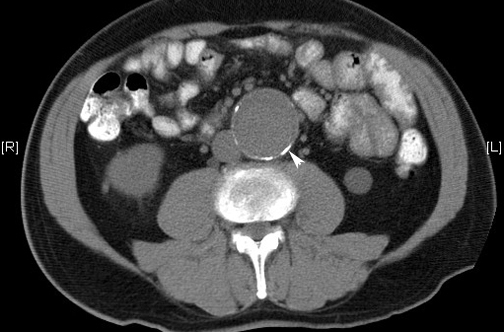
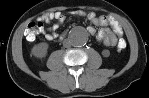
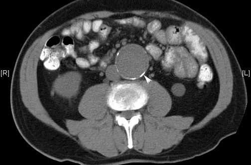
            Aten Primaria, enero de 2019 La ecografía en atención primaria realizada por médicos de familia tras una formación básica para detección de de aneurisma de aorta abdominal (AAA) muestra muy alta validez diagnóstica. Habría que valorar con estudios más amplios de efectividad la pertinencia de implantar un sistema de detección precoz de AAA en población de riesgo.
Cuestionan la eficacia actual del rastreo de aneurisma aórtico
                    18 junio 2018
                
            
            Hay un descenso de la incidencia de mortalidad en las últimas décadas que excede a los efectos del rastreo, y que vuelve menos claro el balance de los riesgos y los beneficios del cribado. The Lancet, 14 de junio de 2018
Eficacia de un triple rastreo cardiovascular
                    04 septiembre 2017
                
            
            En un ensayo clínico realizado en Dinamarca se muestra el beneficio de rastrear en los varones de 65 a 74 años la presencia de aneurisma de aorta abdominal, enfermedad arterial periférica e hipertensión. The Lancet 28 de agosto de 2017
Aneurismas de aorta abdominal: más cirugías y menos mortalidad en EEUU
                    29 noviembre 2016
                
            
            