Farmacología
Sobreuso de opioides en EEUU: cuáles son los datos
                    03 agosto 2017
                
            
            Las encuestas nacionales muestran que más de un tercio de la población adulta recibió al menos una receta de opiodes en el año, con frecuentes informes de trastornos en el uso. Annal of Internal Medicine, 1º de agosto de 2017
Aumento de cáncer colorrectal entre los jóvenes
                    01 marzo 2017
                
            
            Luego de muchas décadas de progresivo descenso, las tasas de cáncer colorrectal en EEUU para los nacidos alrededor de 1990 han vuelto a los niveles registrados cien años atrás. Journal of the National Cancer Institute, 28 de febrero de 2017
Uno de cada 6 adultos estadounidenses toma psicofármacos
                    13 diciembre 2016
                
            
            Los antidepresivos son los más usados, seguidos por los ansiolíticos y, con menor frecuencia, antipscóticos. El uso es mayor en mujeres y por encima de los 60 años. JAMA Internal Medicine, 12 de diciembre de 2016
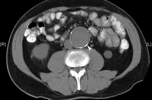
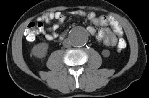
Aneurismas de aorta abdominal: más cirugías y menos mortalidad en EEUU
                    29 noviembre 2016
                
            
            La tasa de cirugías para reparación electiva del aneurisma abdominal en EEUU duplica la de Inglaterra, pero la mortalidad por rotura aneurismática es tres veces menor. New England Journal of Medicine, 24 de noviembre de 2016
Desciende la prevalencia de demencia en EEUU
                    24 noviembre 2016
                
            
            