Farmacología

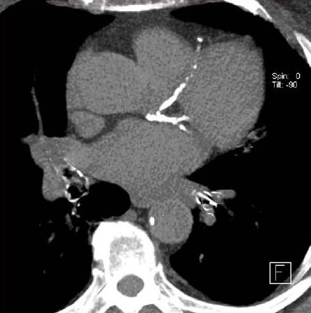
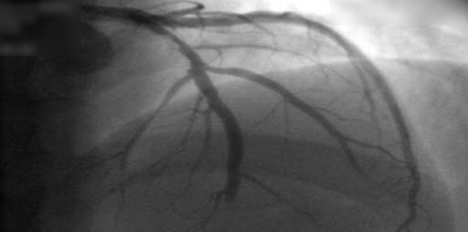
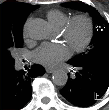
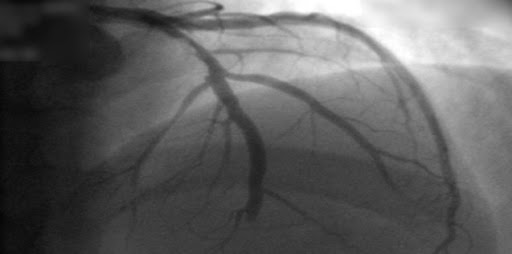
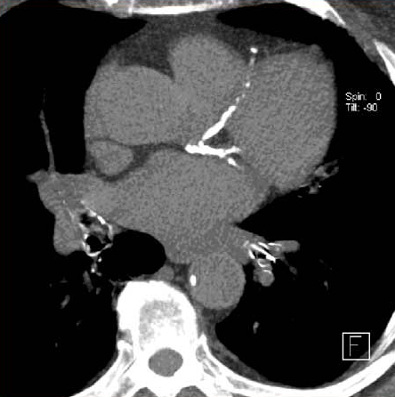
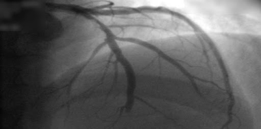
Estudios coronarios en la cardiopatía isquémica estable: ¿TC o cateterismo?

20 octubre 2022

Este estudio no encontró diferencia entre mujeres y varones en el beneficio del uso de la tomografía computarizada (TC) en lugar de la angiografía coronaria invasiva como prueba diagnóstica inicial para el manejo del dolor torácico estable en pacientes con una probabilidad previa a la prueba intermedia de enfermedad arterial coronaria. La TC inicial se asoció con menos complicaciones importantes relacionadas con el procedimiento en las mujeres y una frecuencia más baja del compuesto MACE expandido en los hombres.British Medical Journal, 19 de octubre de 2022.

Valor de la ausencia de calcio coronario para descartar obstrucción significativa

28 octubre 2021

Un puntaje de 0 en el calcio coronario medido por angiotomografía computada reduce sustancialmente el riesgo de enfermedad coronaria en los adultos mayores, pero en los pacientes más jóvenes se halló que una proporción considerable de la coronariopatía obstructiva ocurre en aquellos sin calcio coronario. JAMA Cardiology, 27 de octubre de 2021.

Evaluación con tomografía computada en pacientes con probabilidad intermedia de enfermedad coronaria derivados para angiografía

24 octubre 2016

Sólo el 14% de los evaluados inicialmente con TC requirió angiografía coronaria invasiva; no hubo diferencias clínicas en el seguimiento a 3 años. BMJ, 24 de octubre de 2016

Categorias

Etiquetas