Farmacología

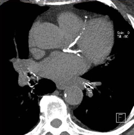
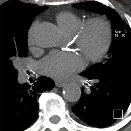
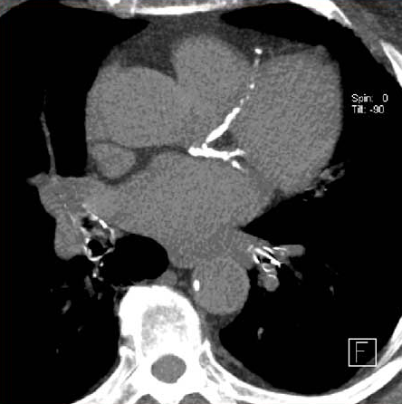
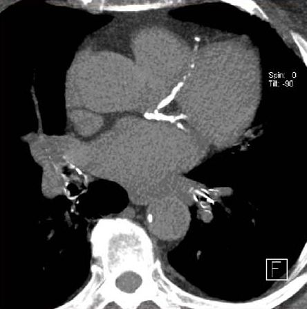
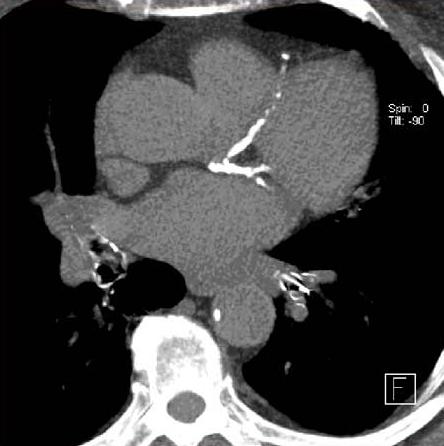
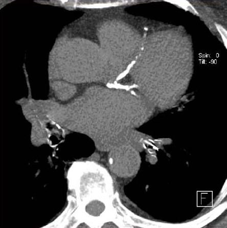
Importancia pronóstica de la determinación del calcio coronario en la TC de tórax para el rastreo de cáncer de pulmón

05 diciembre 2024

En las personas que se sometieron a una TC de tórax de baja dosis para la detección del cáncer de pulmón, la presencia de calcio en la arteria coronaria fue un predictor independiente de muerte por cualquier causa y eventos cardiovasculares, incluso después del ajuste por muerte no cardiovascular. Canadian Medical Association Journal, 2 de diciembre de 2024.

Valor de la ausencia de calcio coronario para descartar obstrucción significativa

28 octubre 2021

Un puntaje de 0 en el calcio coronario medido por angiotomografía computada reduce sustancialmente el riesgo de enfermedad coronaria en los adultos mayores, pero en los pacientes más jóvenes se halló que una proporción considerable de la coronariopatía obstructiva ocurre en aquellos sin calcio coronario. JAMA Cardiology, 27 de octubre de 2021.

Factores de riesgo no tradicionales: faltan pruebas

19 julio 2018

El informe actualizado de la Task Force estaounidense concluye que aún no hay evidencia del beneficio de agregar el índice brazo/tobillo, la PCR de alta sensibilidad o la determinación de calcio coronario para la reducción del riesgo cardiovascular. JAMA, 18 de julio de 2018

Categorias

Etiquetas