Farmacología

Terapia de reemplazo hormonal y riesgo de cáncer de mama

30 agosto 2019

Todos los tipos de terapia hormonal menopáusica excepto los estrógenos vaginales se asociaron con un riesgo excesivo de cáncer de mama, que aumentó con la duración del uso y fue mayor para la combinación con progestágenos. The Lancet, 29 de agosto de 2019

Cuándo buscar mutaciones del gen BRCA asociadas a cáncer

22 agosto 2019

Según la recomendación actualizada de la USPSTF, el asesoramiento genético y eventual análisis de las mutaciones debe reservarse para aquellas mujeres en las que las herramientas de rastreo dan resultado positivo. JAMA, 20 de agosto de 2019

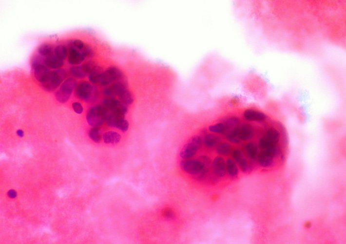
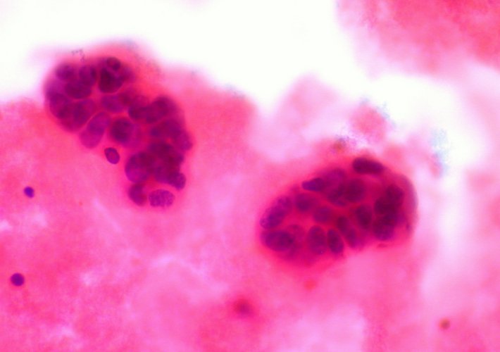
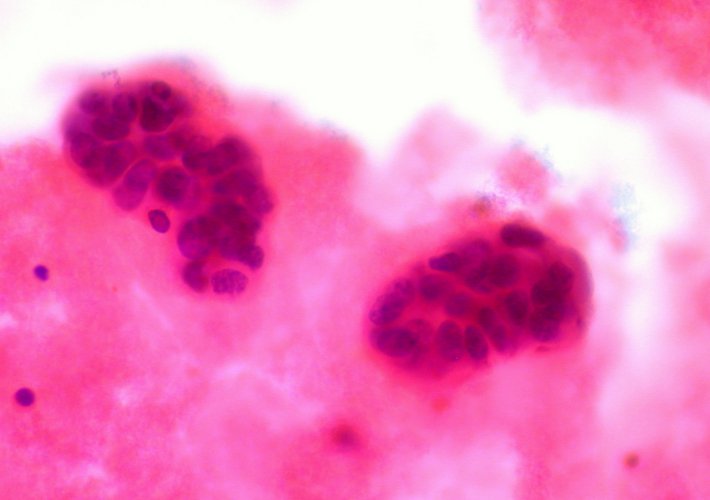
El debate sobre la duración del tratamiento con trastuzumab en cáncer de mama

01 julio 2019

Se publican los resultados finales de dos ensayos clínicos que comparan 6 versus 12 meses de tratamiento, y que obutiveron estimaciones similares pero conclusiones contradictorias. The Lancet, 29 de junio de 2019.

Ecografía mamaria de rastreo: no suma ventajas a la mamografía sola

06 mayo 2019

La ecografía mamaria asociada a la mamografía para el rastreo de cáncer de mama no aumentó la detección de cáncer ni redujo los casos diagnosticados en el intervalo entre controles,  pero sí duplicó la indicación de biopsia y de seguimiento a corto plazo. JAMA, marzo de 2019

Trastuzumab + adriamicina y reducción de la función ventricular izquierda

30 abril 2019

En un seguimiento a 4 años, más del 60% de las pacientes que recibieron trastuzumab y adriamicina  tuvieron un descenso mayor al 10% de su fracción de eyección ventricular izquierda. Revista Argentina de Cardiología, 2019, N°2.

Categorias

Etiquetas