Farmacología
Informe final del ensayo de control intensivo vs. estándar de la presión arterial. Ensayo SPRINT
26 mayo 2021
Entre los pacientes con un mayor riesgo cardiovascular, apuntar a una presión arterial sistólica de menos de 120 mm Hg obtuvo menores tasas de eventos cardiovasculares adversos mayores y una menor mortalidad por todas las causas que apuntar a una presión arterial sistólica de menos de 140 mm Hg, ambos durante recepción de la terapia asignada al azar y después del ensayo. Las tasas de algunos eventos adversos fueron más altas en el grupo de tratamiento intensivo. N Engl J Med, 20 de mayo de 2021
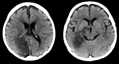
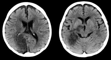
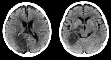
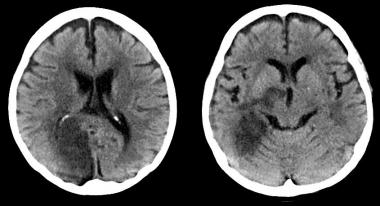
Efectos cerebrales del control intensivo de la hipertensión arterial
15 agosto 2019
En un subestudio del SPRINT se encuentra que los niveles más bajos de presión arterial se asociaron a una pequeña disminución de lesiones de la sustancia blanca, de significación clínica incierta. JAMA 13 de agosto de 2019
Beneficios y daños del tratamiento intensivo de la presión arterial en adultos de 60 años o mayores: revisión sistemática y meta-análisis.
17 enero 2017