Farmacología

Rendimiento de la evaluación funcional coronaria luego de la angioplastia

30 agosto 2022

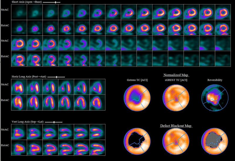
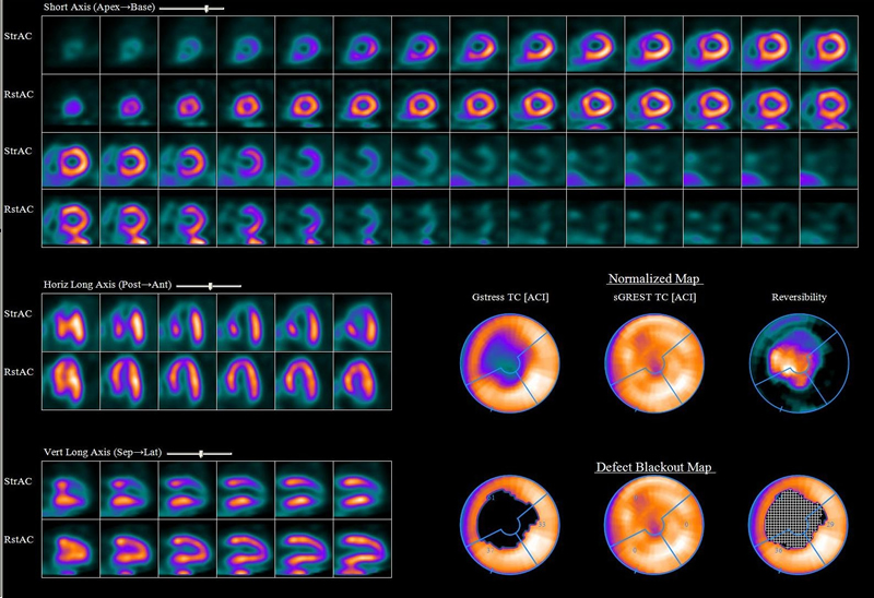
En este ensayo clínico de pacientes de alto riesgo que se habían sometido a angioplastia percutánea, una estrategia de seguimiento con pruebas funcionales de rutina, incluyendo ergometría, cámara gamma o ecocardiograma de estrés, no mejoró los resultados clínicos a los 2 años, en comparación con la atención estándar. New England Journal of Medicine, 28 de agosto de 2022.

Precisión diagnóstica de los profesionales frente a escenarios clínicos comunes

13 abril 2021

Se presentaron cuatro escenarios clínicos habituales a una muestra de profesionales jóvenes, pidiendo que estimaran la probabilidad de enfermedad antes de tener el resultado de la prueba diagnóstica y después de tener un resultado positivo o uno negativo. Hubo una clara sobreestimación de la probabilidad de enfermedad en las tres situaciones. Este sesgo podría relacionarse con el sobrediagnóstico y el sobretratamiento. JAMA Internal Medicine, 5 de abril de 2021.

Coronariografía por tomografía computada vs Prueba de esfuerzo en el diagnóstico de enfermedad coronaria

03 octubre 2017

Ambas estrategias tuvieron similar mortalidad y necesidad de internaciones, si bien la tomografía computada mostró reducción de infartos de miocardio y aumento de procedimientos invasivos diagnósticos y terapéuticos. JAMA Internal Medicine, 2 de octubre de 2017

Categorias

Etiquetas