Farmacología

Reducir las fracturas de cadera y no vertebrales en adultos mayores institucionalizados al restaurar la ingesta inadecuada de proteínas y calcio es un ahorro de costos.

21 julio 2023

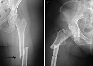
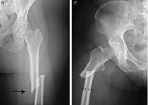
Los adultos mayores en el cuidado de ancianos contribuyen con el 30% de la carga social total de las fracturas de cadera. Las ingestas inadecuadas de proteínas y calcio son comunes en los adultos mayores que viven en hogares de ancianos. Mejorar la ingesta de proteínas y calcio a los niveles recomendados en adultos mayores en el cuidado de personas mayores redujo el riesgo de caídas y otras fracturas no vertebrales de cadera. Este enfoque nutricional para la prevención de fracturas resultó en un ahorro de costos. Age Ageing.. 1 de junio de 2023

Beneficios y riesgos a largo plazo de los fármacos para prevención de fracturas

25 abril 2019

Una revisión sistemática muestra que el tratamiento con bifosfonatos luego de 3 a 5 años puede reducir las fracturas vertebrales, pero no previene las no vertebrales y aumenta el riesgo de complicaciones infrecuentes pero severas. Annals of Internal Medicine, 23 de abril de 2019

Categorias

Etiquetas