Farmacología

Osteoporosis parte 2: Tratamiento farmacológico

27 enero 2025

Esta es la segunda entrega de la Folia DOC  dedicada a osteoporosis. La primera se enfocó en el diagnóstico, prevención y medidas no farmacológicas, y en esta se aborda el tratamiento farmacológico. El mismo variará según el riesgo estimado de fractura, la consideración de la eficacia y seguridad de los diferentes fármacos, la conveniencia de su administración y las preferencias de las pacientes. FoliaDOC, Fundación FEMEBA, 27 de enero de 2025.

Beneficios y riesgos a largo plazo de los fármacos para prevención de fracturas

25 abril 2019

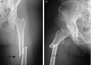
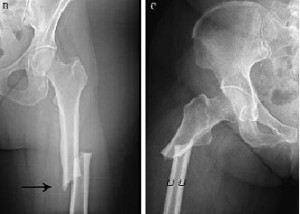
Una revisión sistemática muestra que el tratamiento con bifosfonatos luego de 3 a 5 años puede reducir las fracturas vertebrales, pero no previene las no vertebrales y aumenta el riesgo de complicaciones infrecuentes pero severas. Annals of Internal Medicine, 23 de abril de 2019

Categorias

Etiquetas