Farmacología

Drug Safety Update Diciembre

15 diciembre 2017

MHRA, 14 de diciembre de 2017 en este número: Gadolinio, cladribina, radium-223, eluxadolina, fingolimod

Reino Unido: se retiran del mercado dos contrastes con gadolinio

14 diciembre 2017

Debido al riesgo de acumulación de gadolinio, saldrán del mercado a partir de febrero de 2018 los contrastes para resonancia magnética que contienen gadodiamida (Omniscan®) y ácido gadopentético (Magnevist®). National Health Service, 13 de diciembre de 2017

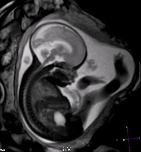
Resonancia magnética: no se detectaron efectos adversos en el primer trimestre del embarazo

07 septiembre 2016

Sin embargo, el uso de medios de contraste con gadolinio en cualquier trimestre se asoció con un aumento de complicaciones durante y después del embarazo. JAMA, 6 de septiembre de 2016

Categorias

Etiquetas