Farmacología
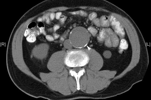
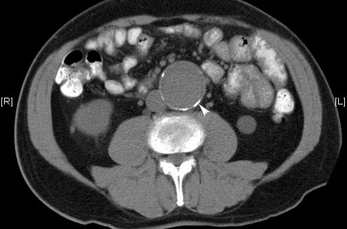
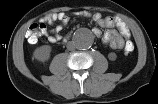
Aneurismas de aorta abdominal: más cirugías y menos mortalidad en EEUU
                    29 noviembre 2016
                
            
            La tasa de cirugías para reparación electiva del aneurisma abdominal en EEUU duplica la de Inglaterra, pero la mortalidad por rotura aneurismática es tres veces menor. New England Journal of Medicine, 24 de noviembre de 2016
Diabetes y mortalidad en ciudad de México
                    17 noviembre 2016
                
            
            Un gran estudio de cohorte muestra alta prevalencia de diabetes, pobre control de la glucemia, y aumento de la mortalidad sobre todo por causas cardiovasculares. New England Journal of Medicine, 17 de noviembre de 2016
Genética, estilo de vida y riesgo cardiovascular
                    14 noviembre 2016
                
            
            Los factores genéticos y los hábitos no saludables se asocian en forma independiente con enfermedad coronaria, pero un estilo de vida favorable logra reducir casi a la mitad el riesgo genético elevado. New England Journal of Medicine, 13 de noviembre de 2016
¿Hay realmente una pandemia de déficit de vitamina D?
                    14 noviembre 2016
                
            
            Los autores de la recomendación oficial norteamericana sobre vitamina D explican que una interpretación equivocada de su significado ha llevado a sobrestimar la prevalencia del problema. New England Journal of Medicine, 10 de noviembre de 2016
Ipilimumab más nivolumab: alerta por miocarditis fatal
                    09 noviembre 2016
                
            
            