Farmacología

Corticosteroides en la neumonía bacteriana adquirida en la comunidad: una revisión sistemática, metanálisis por pares y dosis-respuesta

09 mayo 2023

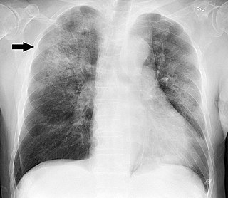
La evidencia de certeza moderada indica que los corticosteroides reducen la mortalidad en pacientes con neumonía bacteriana adquirida en la comunidad más grave, la necesidad de ventilación mecánica invasiva y el ingreso en la Unidad de Cuidados Intensivos. J Gen Intern Med 19 de abril de 2023

Hidrocortisona para reducir la mortalidad en la neumonía grave

21 marzo 2023

En este ensayo clínico doble ciego, los pacientes con formas graves de neumonía adquirida en la comunidad ingresados en UCI y tratados con 200 mg diarios de hidrocortisona tuvieron un riesgo menor de mortalidad a los 28 días que los que recibieron placebo. New England Journal of Medicine, 21 de marzo de 2023.

Efecto de la dosis de amoxicilina y la duración del tratamiento sobre la necesidad de retratamiento con antibióticos en niños con neumonía adquirida en la comunidad. Ensayo CAP-IT

03 noviembre 2021

Entre los niños con neumonía adquirida en la comunidad dados de alta de un departamento de emergencias, una unidad de observación o una sala de hospitalización, el tratamiento ambulatorio adicional con amoxicilina oral a una dosis de 35 a 50 mg / kg por día no fue inferior a una dosis de 70 a 90 mg / kg por día y 3 días no fue inferior a 7 días con respecto a la necesidad de un retratamiento antibiótico posterior. JAMA, 2 de noviembre de 2021

Categorias

Etiquetas