Farmacología

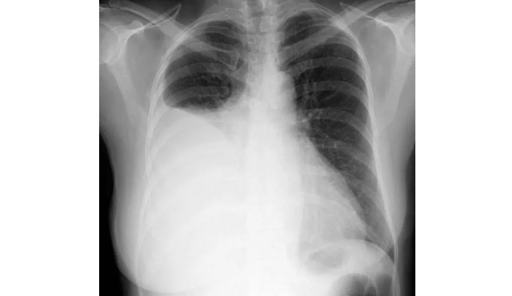
Farmacocinética de los antibióticos en derrames pleurales infectados.

08 julio 2024

En este estudio sobre farmacocinética de antibióticos realizado en pacientes con derrames pleurales infectados se encontró que los antibióticos de uso común, como amoxicilina, metronidazol, piperacilina-tazobactam y clindamicina, alcanzan niveles en el líquido pleural equivalentes a los de la sangre y por encima de la CIM para las bacterias que se sabe que causan infección pleural. La preocupación sobre la penetración de antibióticos de uso común en el espacio pleural infectado (excepto por la trimetroprima)  son infundadas. Thorax, 4 de julio de 2024.

Prescripción inmediata de antibióticos frente a prescripción diferida y frente a no prescribirlos para las infecciones respiratorias

01 noviembre 2023

En muchos desenlaces clínicos no hubo diferencias entre las estrategias de prescripción. Los síntomas de la otitis media aguda y el dolor de garganta mejoraron de forma moderada con la prescripción inmediata de antibióticos en comparación con la prescripción diferida de antibióticos. No hubo diferencias significativas en las tasas de complicaciones. Diferir la prescripción no dio lugar a niveles significativamente diferentes de satisfacción del paciente en comparación con la prescripción inmediata de los antibióticos (86% versus 91%; evidencia de certeza moderada). Sin embargo, la prescripción diferida de antibióticos fue más favorable en comparación con no prescribir antibióticos (87% versus 82%). La prescripción diferida de antibióticos logró tasas inferiores de uso de los antibióticos en comparación con la prescripción inmediata (30% versus 93%). La estrategia sin antibióticos redujo aún más el uso de antibióticos en comparación con la prescripción diferida de antibióticos (13% versus 27%). Cochrane Database of Systematic Reviews  4 octubre 2023

Efecto de la dosis de amoxicilina y la duración del tratamiento sobre la necesidad de retratamiento con antibióticos en niños con neumonía adquirida en la comunidad. Ensayo CAP-IT

03 noviembre 2021

Entre los niños con neumonía adquirida en la comunidad dados de alta de un departamento de emergencias, una unidad de observación o una sala de hospitalización, el tratamiento ambulatorio adicional con amoxicilina oral a una dosis de 35 a 50 mg / kg por día no fue inferior a una dosis de 70 a 90 mg / kg por día y 3 días no fue inferior a 7 días con respecto a la necesidad de un retratamiento antibiótico posterior. JAMA, 2 de noviembre de 2021

Retraso en la prescripción de antibióticos para las infecciones del tracto respiratorio podría reducir las tasas de nuevas consultas

29 abril 2021

La prescripción tardía de antibióticos es una estrategia segura y eficaz para la mayoría de los pacientes, incluidos los de los subgrupos de mayor riesgo. La prescripción tardía se asoció con una duración de los síntomas similar a la no prescripción de antibióticos y es poco probable que conduzca a un peor control de los síntomas que la prescripción inmediata de antibióticos. La prescripción tardía podría reducir las tasas de nuevas consultas y es poco probable que se asocie con un aumento de los síntomas o la duración de la enfermedad, excepto en los niños pequeños. BMJ 28 de abril de 2021

El menor uso de antibióticos podría reducir el asma infantil

25 marzo 2020

La reducción en la incidencia de asma pediátrica observada en Canadá en los últimos años podría ser un beneficio inesperado del uso prudente de antibióticos durante la infancia, actuando a través de la preservación de la comunidad microbiana intestinal. The Lancet Respiratory Medicine, 24 de marzo de 2020.

Categorias

Etiquetas