Farmacología

Enteritis inmune grave después de la exposición intrauterina a pembrolizumab

15 noviembre 2023

Se describe el desarrollo de gastroenterocolitis grave relacionada con el sistema inmunológico en un bebé de 4 meses que presentó diarrea intratable y retraso del crecimiento después de la exposición intrauterina a pembrolizumab. La condición del bebé fue tratada con éxito con prednisolona e infliximab. New England Journal of Medicine, 9 de noviembre de 2023.

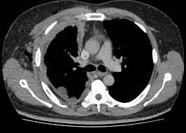
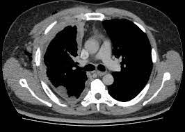
Pembrolizumab agregado a la quimioterapia en el mesotelioma pleural avanzado

06 noviembre 2023

En pacientes con mesotelioma pleural avanzado, la adición de pembrolizumab a la quimioterapia estándar con platino y pemetrexed fue bien tolerada y resultó en un aumento estadísticamente significativo de algo más de un mes en la mediana de sobrevida. Se plantea como una opción terapéutica en esta enfermedad de difícil tratamiento. The Lancet, 3 de noviembre de 2023.

Neoadyuvancia en cáncer de pulmón: resultados de dos ensayos clínicos

10 agosto 2023

En dos estudios diferentes de pacientes con cáncer de pulmón no microcítico, se exploró la eficacia del tratamiento neoadyuvante y adyuvante con pembrolizumab (en estadios II, IIIA y IIIB) y de nivolumab (en estadios IIIA y IIIB), ambos comparados con placebo, obteniendo beneficios en desenlaces intermedios y evidencia de una mejor sobrevida global a los 2 años. New England Journal of Medicine, 10 de agosto de 2023.

Pembrolizumab más quimioterapia en el cáncer de mama triple negativo avanzado

22 julio 2022

Entre los pacientes con cáncer de mama triple negativo avanzado cuyos tumores expresaron ligando 1 de muerte programada  (PD-L1) con un una combinación puntuación positiva (CPS) de 10 o más, la adición de pembrolizumab a la quimioterapia resultó en una supervivencia general significativamente más prolongada que la quimioterapia sola. N Engl J Med. 21 de julio 2022

Tratamiento combinado en el carcinoma renal avanzado

12 abril 2021

En pacientes con carcinoma de células renales avanzado y sin tratamiento sistémico previo, lenvatinib más pembrolizumab se asoció con una supervivencia libre de progresión y una supervivencia general significativamente más prolongadas que el sunitinib. New england Journal of Medicine, 8 de abril de 2021.

Categorias

Etiquetas