Farmacología

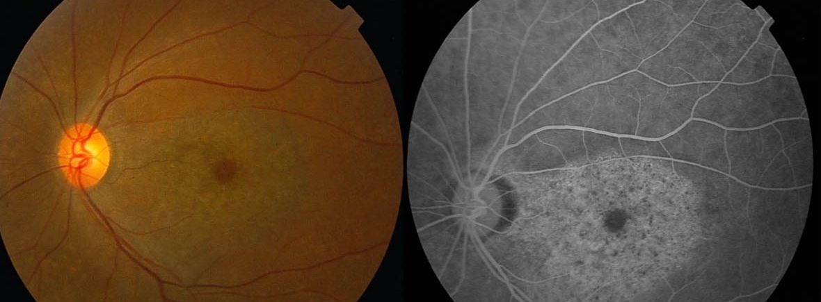
Riesgo de retinopatía con el uso crónico de hidroxicloroquina

17 enero 2023

La hidroxicloroquina se indica en forma crónica en pacientes con lupus eritematoso sistémico y otras afecciones inflamatorias. En esta gran cohorte contemporánea con vigilancia activa para la detección de retinopatía se encontró que el riesgo fue del 8,6 % después de 15 años, y la mayoría de los casos fueron leves. La dosis más alta de hidroxicloroquina se asoció con un riesgo progresivamente mayor de retinopatía incidente. Annals of Internal Medicine, 17 de enero de 2023.

Cambios en el fondo de ojo anticipan el deterioro cognitivo

05 marzo 2018

Las alteraciones de la vasculatura retiniana se asocian al desarrollo de trastornos cognitivos en los 20 años subsiguientes. Neurology, 28 de febrero de 2018

Control glucémico y complicaciones microvasculares en diabetes tipo 2

26 mayo 2017

Un meta-análisis de ensayos clínicos encuentra que el control más estricto de la glucemia en diabéticos tipo 2 reduce en un 20% las complicaciones renales y en un 13% las oculares, sin modificar la neuropatía. The Lancet Diabetes & Endocrinology, junio de 2017

Categorias

Etiquetas