Farmacología

Reacciones de hipersensibilidad a los medicamentos

03 julio 2023

Los médicos de emergencia deben tener una buena comprensión de estos diversos tipos de reacciones de hipersensibilidad a los medicamentos y cómo acercarse al paciente con respecto a la evaluación y el tratamiento. Immunol Alergia Clin North Am.  30 de junio de 2023

Prevalencia mundial del síndrome de Stevens-Johnson y necrólisis epidérmica tóxica asociados a antibióticos

24 febrero 2023

En esta revisión sistemática y metanálisis de todas las series de casos, los antibióticos se asociaron con más de una cuarta parte de los casos de síndrome de Stevens-Johnson y la necrólisis epidérmica tóxica descritos en todo el mundo. La clase de sulfonamida se asoció con el 32 % de los casos, seguida de las penicilinas (22 %), las cefalosporinas (11 %), las fluoroquinolonas (4 %) y los macrólidos (2 %). Estos hallazgos resaltan la importancia de la administración de antibióticos, la educación y la concientización de los médicos, y sopesar la evaluación de riesgo-beneficio de la elección y duración de los antibióticos. JAMA Dermatol. 15 de febrero de 2023

"Los medicamentos y la piel" Una revisión concisa de las reacciones adversas cutáneas a los medicamentos

17 agosto 2022

La enfermedad de la piel inducida por fármacos o las reacciones cutáneas adversas a fármacos (RAMc) son términos que engloban las manifestaciones clínicas de la piel, las mucosas y los anexos inducidas por un fármaco o sus metabolitos. El reconocimiento de una reacciones cutáneas adversas a fármacos específica dependerá principalmente de la capacidad del médico para realizar un examen clínico detallado, la descripción adecuada de la morfología de las lesiones cutáneas y los hallazgos de laboratorio y/o biopsia de piel que respalden. Br J Clin Pharmacol, 16 de agosto de 2022

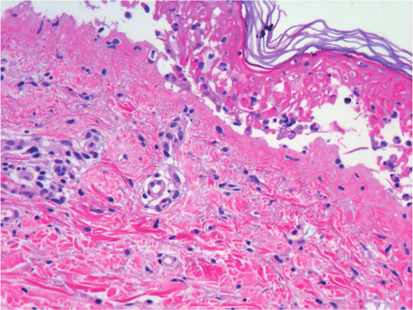
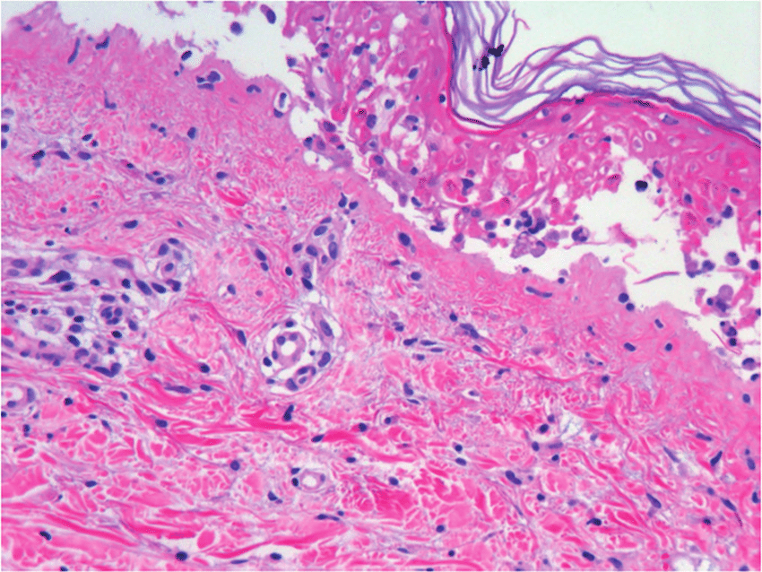
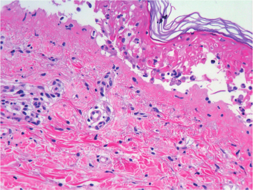
Síndrome de Stevens-Johnson y necrólisis epidérmica tóxica: revisión del diagnóstico y el tratamiento

06 octubre 2021

En esta revisión panorámica, se buscaron publicaciones que abordaran los avances recientes en el diagnóstico y el tratamiento de la enfermedad. Debido a la naturaleza rara de la enfermedad, hay una falta de ensayos controlados aleatorios prospectivos y realizarlos en el futuro proporcionaría información valiosa sobre el manejo de esta enfermedad. Medicina (Kaunas), 28 de agosto de 2021

Mecanismos de las reacciones adversas cutáneas graves: avances recientes

29 abril 2019

Drug Saf, 24 de abril de 2019Las reacciones adversas cutáneas a los medicamentos son impredecibles e incluyen varias afecciones cutáneas diferentes de diversos grados de gravedad.  Todas son reacciones de hipersensibilidad de tipo IV retardadas en las que una respuesta inmune específica de un fármaco mediada por células T es responsable de causar la enfermedad. No obstante, las subpoblaciones específicas de células T se desarrollan en respuesta a ciertas condiciones ambientales y producen citocinas que orquestan los diversos fenotipos.

Categorias

Etiquetas