Farmacología

Efectos adversos cutáneos de los medicamentos: una cuestión de piel

15 septiembre 2023

En este número de la FoliaDOC se pasará revista a los cuadros clínicos más importantes, sus probables desencade­nantes, el modo de identificarlos, evaluarlos y tratarlos. Se abordarán tanto los eventos frecuentes de baja gravedad como aquellos síndromes de rara presentación pero que implican un riesgo de vida significativo. Folia Doc Año XXVI Nº1 2023. Fundación FEMEBA, 12 de septiembre de 2023

Prevalencia mundial del síndrome de Stevens-Johnson y necrólisis epidérmica tóxica asociados a antibióticos

24 febrero 2023

En esta revisión sistemática y metanálisis de todas las series de casos, los antibióticos se asociaron con más de una cuarta parte de los casos de síndrome de Stevens-Johnson y la necrólisis epidérmica tóxica descritos en todo el mundo. La clase de sulfonamida se asoció con el 32 % de los casos, seguida de las penicilinas (22 %), las cefalosporinas (11 %), las fluoroquinolonas (4 %) y los macrólidos (2 %). Estos hallazgos resaltan la importancia de la administración de antibióticos, la educación y la concientización de los médicos, y sopesar la evaluación de riesgo-beneficio de la elección y duración de los antibióticos. JAMA Dermatol. 15 de febrero de 2023

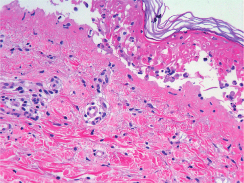
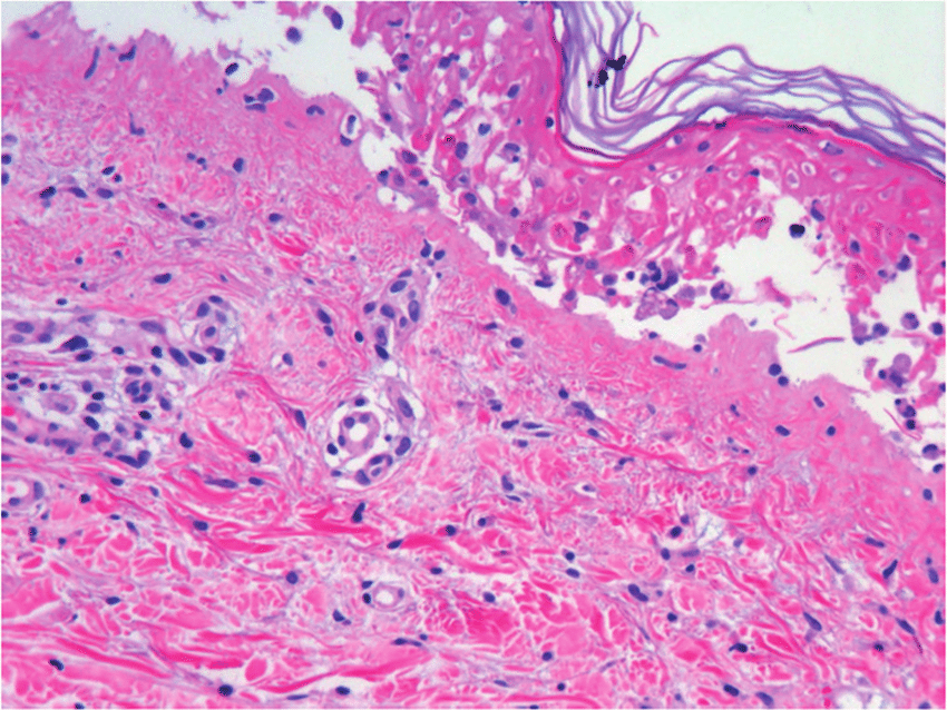
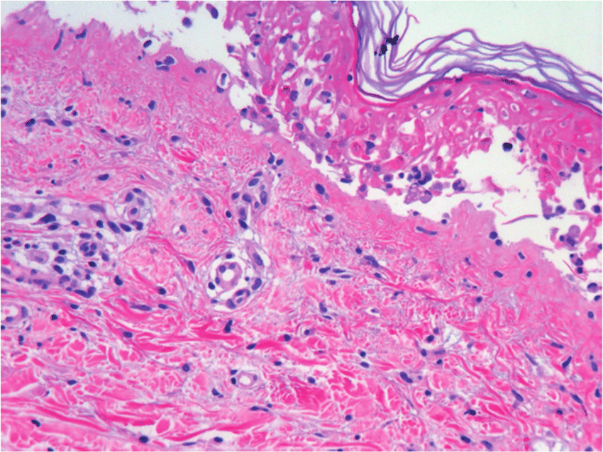
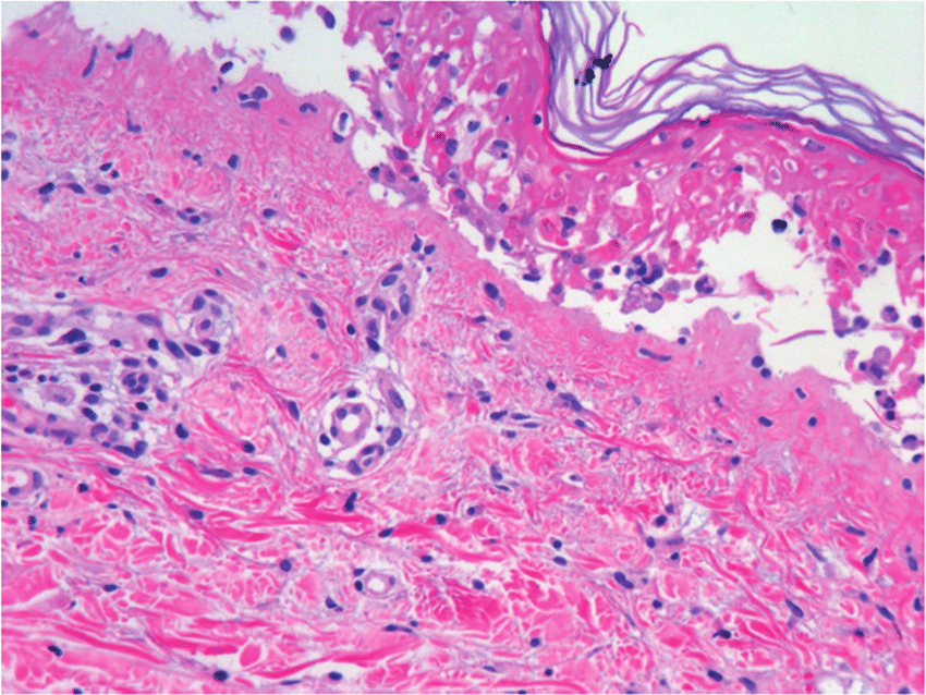
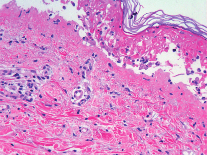
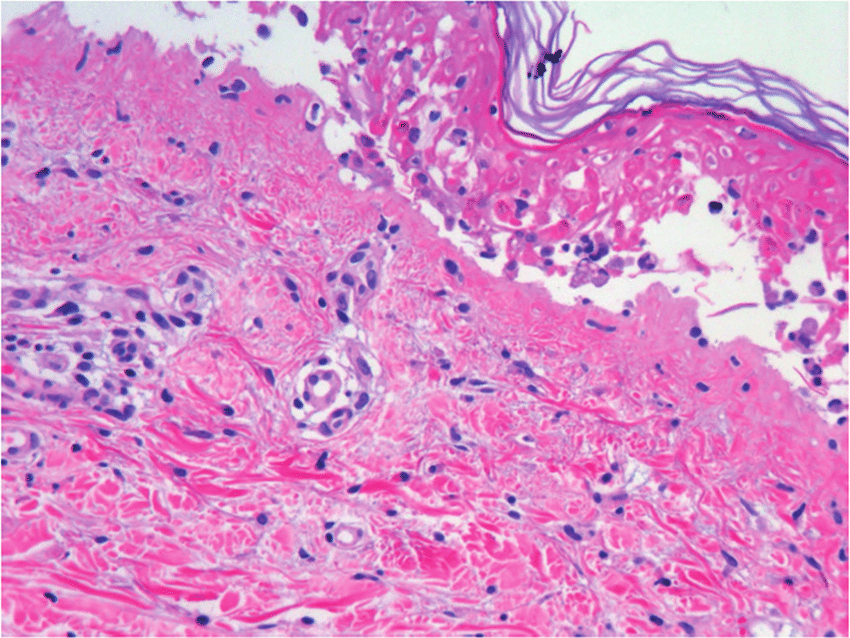
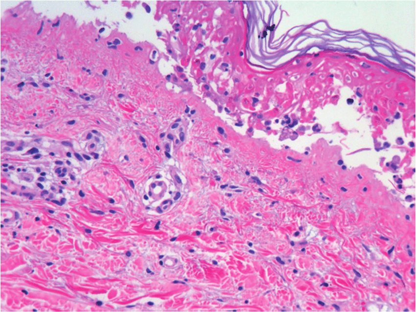
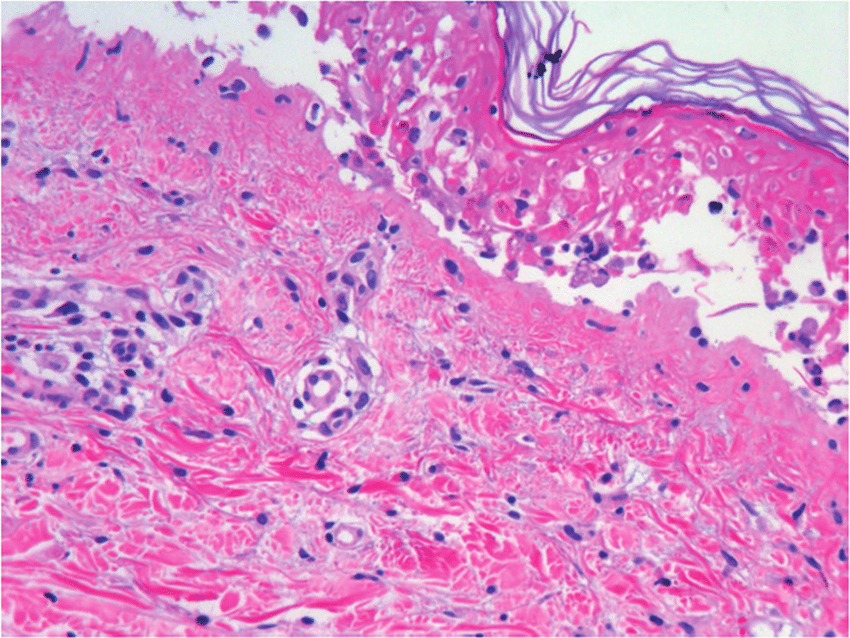
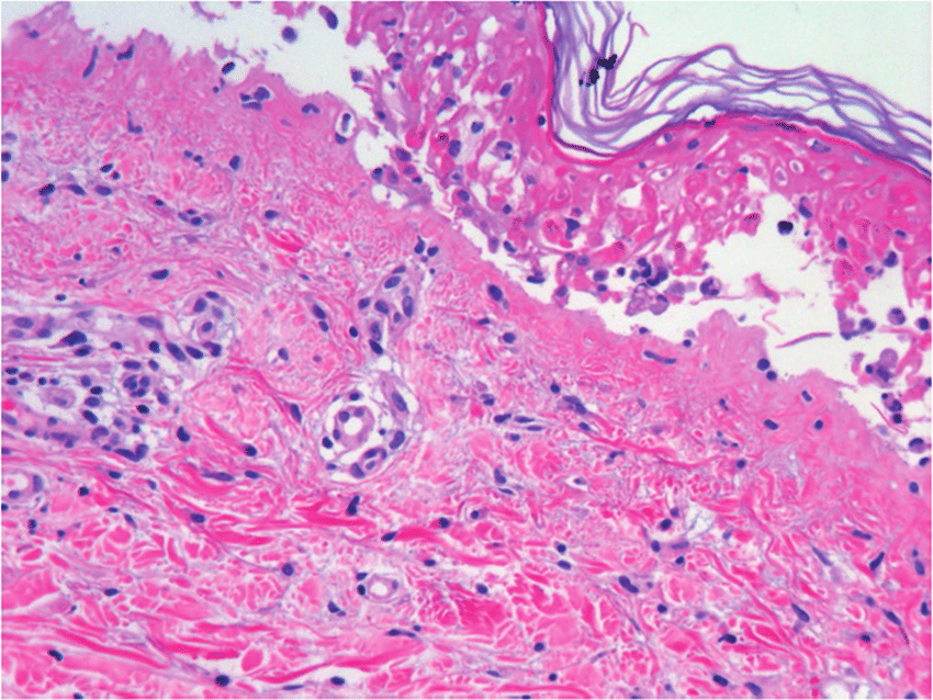
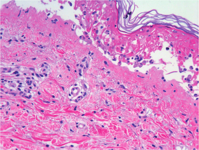
Necrólisis Epidérmica Tóxica: Revisión Clínica y Terapéutica

07 diciembre 2022

En general, su etiología y presentación son consensuadas, definiéndose como una necrólisis generalizada de la epidermis que se produce como una respuesta inmune descontrolada a un fármaco específico o a uno de sus metabolitos, destacando el cotrimoxazol y el alopurinol como los más importantes. Esta necrólisis conduce a un desprendimiento masivo de la capa epidérmica de la piel, con mayor incidencia en el torso, miembros superiores y cara. Eur. Burn J. 8 agosto 2022

"Los medicamentos y la piel" Una revisión concisa de las reacciones adversas cutáneas a los medicamentos

17 agosto 2022

La enfermedad de la piel inducida por fármacos o las reacciones cutáneas adversas a fármacos (RAMc) son términos que engloban las manifestaciones clínicas de la piel, las mucosas y los anexos inducidas por un fármaco o sus metabolitos. El reconocimiento de una reacciones cutáneas adversas a fármacos específica dependerá principalmente de la capacidad del médico para realizar un examen clínico detallado, la descripción adecuada de la morfología de las lesiones cutáneas y los hallazgos de laboratorio y/o biopsia de piel que respalden. Br J Clin Pharmacol, 16 de agosto de 2022

Isotretinoína: demasiados embarazos aún en riesgo

25 abril 2022

A pesar de una serie de medidas, los niños por nacer siguen estando expuestos a la isotretinoína durante el embarazo, con riesgo de sufrir malformaciones graves y/o trastornos neuropsiquiátricos. Prescrire International, 1 de abril de 2022

Categorias

Etiquetas