Farmacología
No se está tratando bien la osteoporosis luego de la fractura de cadera
                    23 julio 2018
                
            
            Un estudio encuentra que menos del 10% de los pacientes había iniciado tratamiento para osteoporosis luego de 6 meses de la fractura, a pesar de los beneficios demostrados de los fármacos en esta indicación. JAMA Network Open, 20 de julio de 2018
El efecto de la terapia con bisfosfonatos a largo plazo sobre la resistencia ósea trabecular y la densidad de microgrietas
                    18 diciembre 2017
                
            
            Se halló reducción de la resistencia y un aumento de microgrietas en el hueso tratado con bifosfonatos. Bone Joint Res, 27 de octubre de 2017
Guía para compartir la decisión de usar bifosfonatos en osteoporosis
                    10 octubre 2017
                
            
            El NICE británico publica una actualización de la guía sobre los beneficios y riesgos del uso de bifosfonatos en la prevención de fracturas, para facilitar las decisiones en el consultorio. NICE, 5 de octubre de 2017
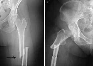
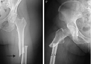
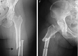
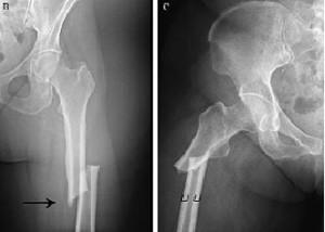
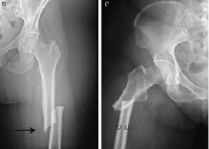
El uso prolongado de bifosfonatos reduce la resistencia a las fracturas
                    03 agosto 2017
                
            
            Luego de un uso promedio de 8 años, los bifosfonatos mostraban tejido cortical más mineralizado pero con menor resistencia al inicio y progresión de la fractura femoral. PNAS, 31 de julio de 2017
Repensar la evaluación y aprobación de fármacos para la prevención de fracturas
                    16 mayo 2017
                
            
            