Farmacología
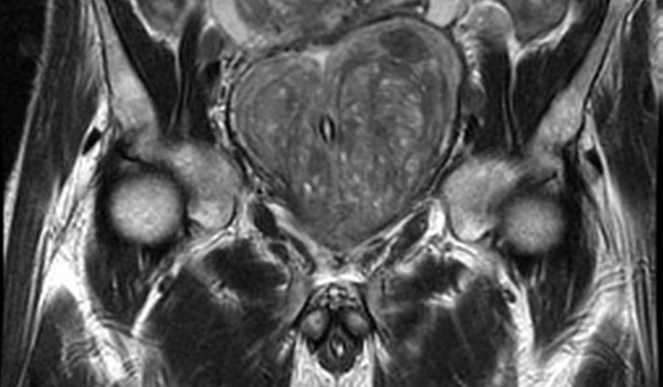
Imágenes por resonancia magnética en la detección del cáncer de próstata: revisión sistemática y metanálisis
                    07 mayo 2024
                
            
            Los resultados de esta revisión sistemática y metanálisis sugieren que la integración de la resonancia magnética en las vías de detección del cáncer de próstata se asocia con un número reducido de biopsias innecesarias y un sobrediagnóstico de cáncer de próstata insignificante, al tiempo que se mantiene la detección de cáncer de próstata clínicamente significativo en comparación con la detección solo con PSA. JAMA Oncol, 5 de abril de 2024
Desarrollo y validación de un análisis de 18 genes en orina para la detección de cáncer de próstata de alto grado
                    23 abril 2024
                
            
            Se presenta una nueva prueba en orina de 18 genes para la detección de cáncer de próstata de alto grado, que puede reducir las pruebas adicionales más inconvenientes (p. ej., imágenes y biopsias) y al mismo tiempo mantener una detección altamente sensible de cáncer de alto grado en pacientes sometidos a pruebas de detección de PSA. JAMA Oncology, 18 de abril de 2024.
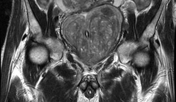
Imágenes por resonancia magnética en los exámenes de detección del cáncer de próstata: una revisión sistemática y metanálisis
                    15 abril 2024
                
            
            Los resultados de esta revisión sistemática y metanálisis indican que la integración de la resonancia magnética (RM) en las vías de cribado del cáncer de próstata (CaP) se asocia con un número reducido de biopsias innecesarias y un sobrediagnóstico del CaP insignificante, al tiempo que se mantiene la detección de CaP clínicamente significativos (csPCa) en comparación con el cribado solo del PSA. JAMA Oncol 5 de abril de 2024
Resultados funcionales después del tratamiento del cáncer de próstata localizado
                    24 enero 2024
                
            
            En los pacientes con cáncer de próstata localizado y pronóstico favorable, la prostatectomía radical se asoció con mayor incontinencia urinaria pero no con una peor función sexual luego de 10 años de seguimiento, en comparación con la radioterapia o la vigilancia. En aquellos con enfermedad de pronóstico desfavorable, la radioterapia de haz externo con terapia de privación de andrógenos se asoció con una peor función intestinal y hormonal en un seguimiento de 10 años en comparación con la prostatectomía radical. JAMA, 23 de enero de 2024.
Enzalutamida, leuprolida o ambas para el cáncer de próstata con recurrencia bioquímica
                    19 octubre 2023
                
            
            