Farmacología

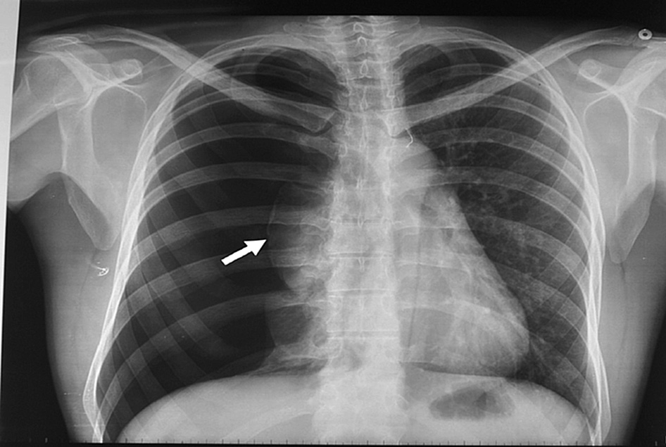
Manejo conservador del neumotórax espontáneo moderado a grande

30 enero 2020

En un ensayo clínico que comparó la intervención inicial vs manejo conservador se encontró resolución del neumotórax a las 8 semanas en 98,5% vs 94,1% de los pacientes, respectivamente. New England Journal of Medicine, 30 de enero de 2020

Hematoma intracerebeloso: evacuación vs conducta expectante

11 octubre 2019

No hubo diferencia significativa en el resultado funcional del conjunto de los pacientes, pero en análisis de subgrupos la evacuación produjo mejores resultados con hematomas más voluminosos. JAMA, 8 de octubre de 2019

¿Drenaje más antibióticos en el absceso cutáneo?

05 julio 2017

El agregado de clindamicina o cotrimoxazol por vía oral al drenaje quirúrgico aumentó la tasa de curación de los abscesos de la piel menores a 5 cm. New England Journal of Medicine, 29 de junio de 2017

Categorias

Etiquetas