Farmacología

Manejo conservador versus amigdalectomía en adultos con amigdalitis aguda recurrente en el Reino Unido (NATTINA): ensayo controlado aleatorio multicéntrico, abierto

23 mayo 2023

En comparación con el tratamiento conservador, la amigdalectomía inmediata es clínicamente eficaz y rentable en adultos con amigdalitis aguda recurrente. Lancet, 17 de mayo de 2023

Tratamiento quirúrgico o conservador para la ciática: revisión sistemática

21 abril 2023

Evidencia de certeza muy baja a baja sugiere que la discectomía fue superior al tratamiento no quirúrgico o las inyecciones epidurales de esteroides para reducir el dolor de pierna y la discapacidad en pacientes con ciática con indicación quirúrgica, pero los beneficios disminuyeron con el tiempo. La discectomía podría ser una opción para las personas con ciática que sienten que el rápido alivio que ofrece la discectomía supera los riesgos y costos asociados con la cirugía. British Medical Journal, 19 de abril de 2023.

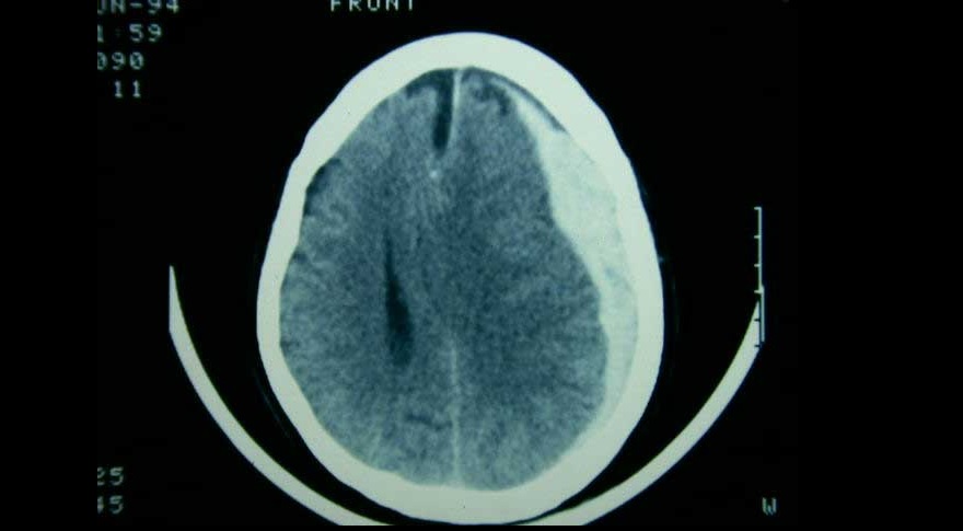
Evacuación inicial o tratamiento conservador en el hematoma subdural agudo

09 mayo 2022

El tratamiento de pacientes con hematoma subdural agudo difiere según el centro de tratamiento, debido a la variación en el abordaje preferido. Una estrategia de tratamiento que prefirió un enfoque agresivo de evacuación quirúrgica aguda sobre el tratamiento conservador inicial no se asoció con un mejor resultado funcional. The Lancet Neurology, 5 de mayo de 2022.

¿Cuál es el mejor tratamiento de la rotura del tendón de Aquiles?

22 abril 2022

En un ensayo clínico realizado en Noruega se asignaron pacientes con rotura del tendón de Aquiles a uno de tres tratamientos:  cirugía abierta, cirugía mínimamente invasiva o tratamiento conservador. No se observó superioridad de ninguna de las tres modalidades luego de  12 meses de seguimiento. New England Journal of Medicine, 14 de abril de 2022.

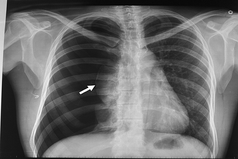
Manejo conservador del neumotórax espontáneo moderado a grande

30 enero 2020

En un ensayo clínico que comparó la intervención inicial vs manejo conservador se encontró resolución del neumotórax a las 8 semanas en 98,5% vs 94,1% de los pacientes, respectivamente. New England Journal of Medicine, 30 de enero de 2020

Categorias

Etiquetas