Farmacología
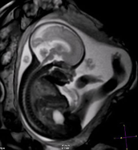
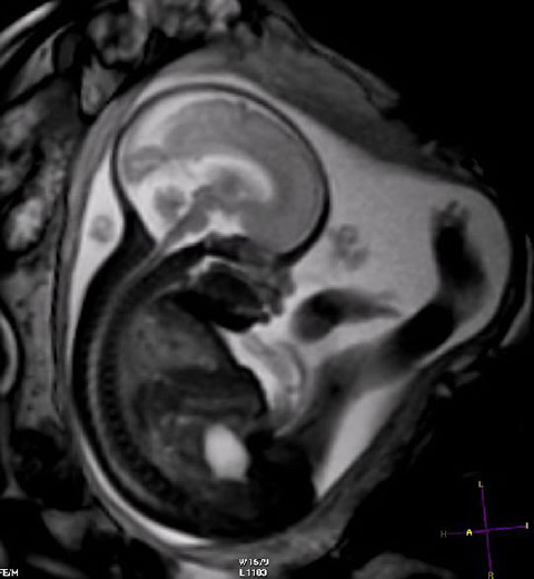
Resonancia magnética: no se detectaron efectos adversos en el primer trimestre del embarazo
07 septiembre 2016
Sin embargo, el uso de medios de contraste con gadolinio en cualquier trimestre se asoció con un aumento de complicaciones durante y después del embarazo. JAMA, 6 de septiembre de 2016
Uso de antipsicóticos en el embarazo y riesgo de malformaciones congénitas
25 agosto 2016
JAMA Psychiatry. Publicado en línea 17 de agosto de, 2016.
Asociación del uso de paracetamol durante el embarazo con problemas de conducta en la infancia
24 agosto 2016
JAMA Pediatr. 15 de agosto de 2016.
Drug and Therapeutics Bulletin: suplementos de vitaminas durante el embarazo
13 julio 2016
Aunque el uso sistemático de multivitamínicos no es necesario, debe asegurarse el aporte de las vitaminas que, como el ácido fólico, han demostrado beneficios. Drug and Therapeutics Bulletin, julio de 2016
Paracetamol durante el embarazo se asoció a riesgo de autismo en un estudio español
28 junio 2016