Farmacología
Cascadas de atención luego de hallazgos incidentales en una encuesta nacional de médicos de los EE. UU.
                    23 octubre 2019
                
            
            Las conclusiones de este estudio sugieren que los encargados de formular políticas y los líderes de atención médica deben abordar las cascadas después de hallazgos incidentales como parte de los esfuerzos para mejorar el valor de la atención médica y reducir el agotamiento de los médico JAMA Netw Open. 16 de octubre de 2019
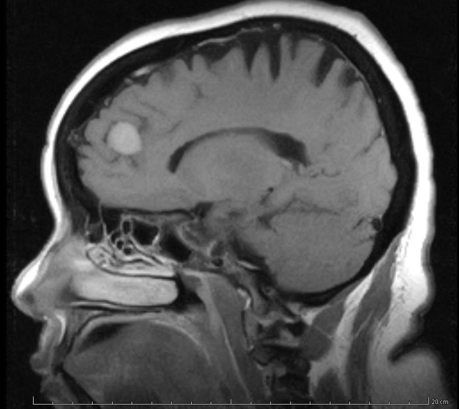
Hallazgos incidentales en resonancia magnética
                    26 noviembre 2018
                
            
            Se revisa la frecuencia y la gravedad de los hallazgos inesperados en resonancias de cerebro, tórax y abdomen. British Medical Journal, 22 de noviembre de 2018
¿Qué hacer con un aneurisma cerebral pequeño que nunca sangró?
                    27 noviembre 2017
                
            
            Con lesiones de 3 mmm o menos, descubiertas en foma incidental, la mejor estrategia parece ser no realizar tratamiento ni seguimiento rutinario con imágenes. JAMA Neurology, 20 de noviembre de 2017
Hallazgos incidentales en la resonancia magnética cerebral de niños
                    19 octubre 2017
                
            
            