Farmacología

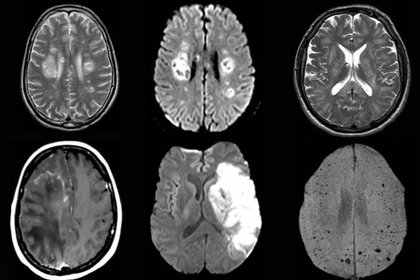
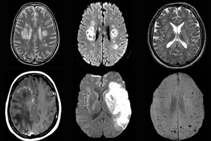
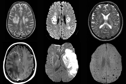
Cambios cerebrales en la resonancia magnética  a tres meses en  pacientes con COVID-19

06 agosto 2020

Unos 60 pacientes recuperados y 39 controles fueron sometidos a resonancia magnética cerebral. La cohorte COVID-19 mostró una amplia gama de diferencias con respecto a los controles, incluidos volúmenes de materia gris bilaterales significativamente más altos en las cortezas olfativas y los hipocampos. Algunas de estas diferencias se asociaron con síntomas persistentes como pérdida de memoria y olfato. Los investigadores señalan que los hallazgos indican "el potencial de neuroinvasión del SARS-CoV-2 ... incluso si los pacientes se recuperan bien de la condición de neumonía, los cambios neurológicos pueden causar una gran carga". EClinicalMedicine, 3 de agosto de 2020

Descenso intensivo vs usual de la tensión arterial en adultos mayores

15 octubre 2019

Una meta de tensión arterial sistólica menor a 130 mmHg no se asoció a cambios en la  movilidad o en las pruebas cognitivas, pero sí a menor progreso de las lesiones subcorticales en la resonancia magnética. Circulation, octubre de 2019

Hallazgos incidentales en la resonancia magnética cerebral de niños

19 octubre 2017

El 25% de los estudios realizados en niños asintomáticos mostró al menos una anomalía, pero sólo el 0,4% requirió seguimiento clínico. Debe tenerse en cuenta la alta frecuencia de hallazgos incidentales en la interpretación de estos estudios. New England Journal of Medicine, 19 de octubre de 2017

Categorias

Etiquetas