Farmacología

Características clínicas de los pacientes internados con neumonía por 2019-nCoV

10 febrero 2020

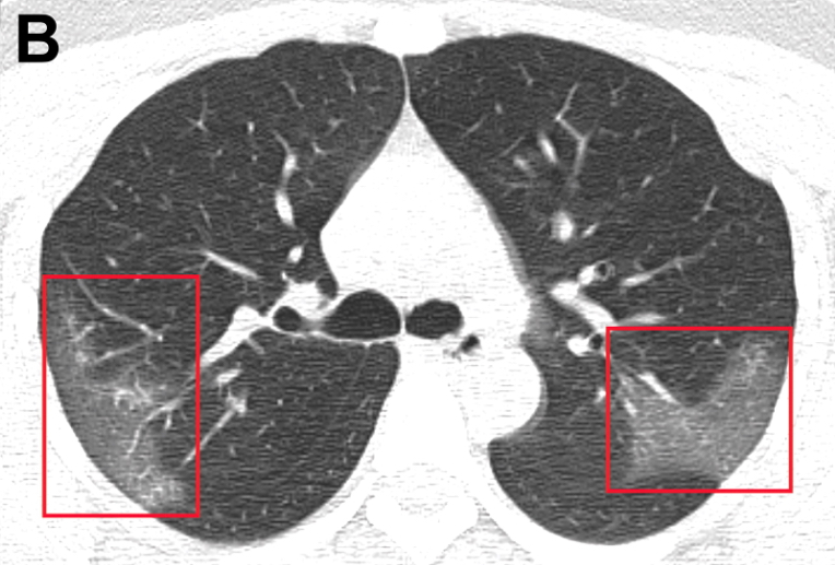
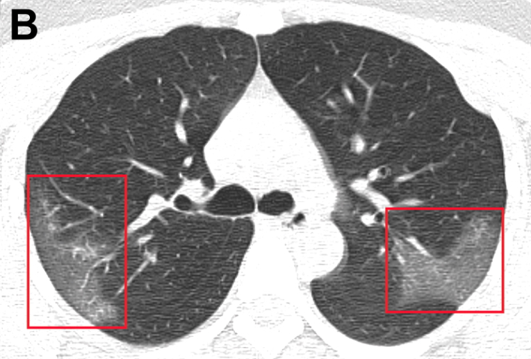
Cuadro febril con fatiga y tos seca, evoluciona a disnea en 5 días; presenta linfopenia, LDH elevada y tiempo de protrombina prolongado; tomografía con opacidad bilateral en vidrio esmerilado. El 26% requirió cuidados intensivo y el 4,3% falleció. JAMA, 7 de febrero de 2020

Nuevo coronavirus: puede transmitirse durante el período de incubación

04 febrero 2020

Como muchos otros virus respiratorios, el 2019-nCoV puede contagiarse desde una persona asintomática que está incubando la enfermedad. New England Journal of Medicine, 30 de enero de 2020

Alerta por casos de enfermedad pulmonar  en usuarios de cigarrillos electrónicos

22 agosto 2019

Se están investigando 94 posibles casos de enfermedad pulmonar severa asociados al uso de cigarrillo electrónico. Centers for Disease Control and Prevention, 17 de agosto de 2019.

Categorias

Etiquetas