Farmacología

Factores pronósticos en pacientes internados con COVID-19

10 marzo 2020

Los principales indicadores de un mal resultado fueron la edad avanzada, el puntaje SOFA elevado y un valor de dímero-d al ingreso > 1 μg/L. The Lancet, 9 de marzo de 2020

Características del cuadro de daño pulmonar asociado al cigarrillo electrónico

09 marzo 2020

Casi la mitad de los 160 casos estudiados en California requirió internación en UTI y un 29% tuvo asistencia respiratoria. La asociación más frecuente fue con productos de cannabis de fuentes informales y en el 84% de los casos contenían vitamina E. JAMA Internal Medicine, 6 de marzo de 2020.

Uso excesivo de antibióticos de amplio espectro para la neumonía

20 febrero 2020

La prescripción excesiva es particularmente pronunciada en pacientes con neumonía. Estudio tras estudio ha documentado altas tasas de sobrediagnóstico de neumonía, lo que sugiere un apuro por tratar a pesar de la evidencia equívoca de la enfermedad. Hasta la mitad de los pacientes hospitalizados tratados por neumonía pueden no tener neumonía en realidad. Este editorial pone en contexto un estudio de cohorte nacional de 88605 hospitalizaciones que no encontró un beneficio de mortalidad de la terapia empírica contra S. aureus resistente a la meticilina versus antibióticos estándar para cualquier grupo de pacientes. JAMA Intern Med,17 de febrero de 2020

Corticoides en la neumonía por 2019-nCoV

10 febrero 2020

Revisando los antecedentes del uso de corticosteroides en cuadros virales relacionados, no existe un buen motivo para esperar que los pacientes con infección por 2019-nCoV se beneficien de su uso, y podrían ser más propensos a sufrir los efectos adversos. Deberían usarse sólo en el contexto de un ensayo clínico. The Lancet, 7 de febrero de 2020

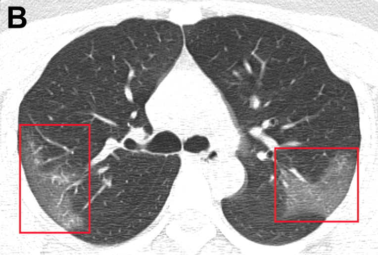
Características clínicas de los pacientes internados con neumonía por 2019-nCoV

10 febrero 2020

Cuadro febril con fatiga y tos seca, evoluciona a disnea en 5 días; presenta linfopenia, LDH elevada y tiempo de protrombina prolongado; tomografía con opacidad bilateral en vidrio esmerilado. El 26% requirió cuidados intensivo y el 4,3% falleció. JAMA, 7 de febrero de 2020

Categorias

Etiquetas