Farmacología

Curso clínico y resultados de pacientes críticos con neumonía por COVID-19 en Wuhan, China

02 marzo 2020

La mortalidad de pacientes críticos con neumonía por COVID-19 es considerable. El tiempo de supervivencia de los no sobrevivientes es de 1 a 2 semanas tras el ingreso en la UCI. Los pacientes mayores (> 65 años) con comorbilidades y síndrome de dificultad respiratoria aguda tienen un mayor riesgo de muerte. La gravedad de la neumonía por COVID-19 plantea una gran presión sobre los recursos de atención crítica en los hospitales, especialmente si no cuentan con el personal o los recursos adecuados.  Lancet Resp Med, 24 de febrero de 2020

Uso excesivo de antibióticos de amplio espectro para la neumonía

20 febrero 2020

La prescripción excesiva es particularmente pronunciada en pacientes con neumonía. Estudio tras estudio ha documentado altas tasas de sobrediagnóstico de neumonía, lo que sugiere un apuro por tratar a pesar de la evidencia equívoca de la enfermedad. Hasta la mitad de los pacientes hospitalizados tratados por neumonía pueden no tener neumonía en realidad. Este editorial pone en contexto un estudio de cohorte nacional de 88605 hospitalizaciones que no encontró un beneficio de mortalidad de la terapia empírica contra S. aureus resistente a la meticilina versus antibióticos estándar para cualquier grupo de pacientes. JAMA Intern Med,17 de febrero de 2020

Corticoides en la neumonía por 2019-nCoV

10 febrero 2020

Revisando los antecedentes del uso de corticosteroides en cuadros virales relacionados, no existe un buen motivo para esperar que los pacientes con infección por 2019-nCoV se beneficien de su uso, y podrían ser más propensos a sufrir los efectos adversos. Deberían usarse sólo en el contexto de un ensayo clínico. The Lancet, 7 de febrero de 2020

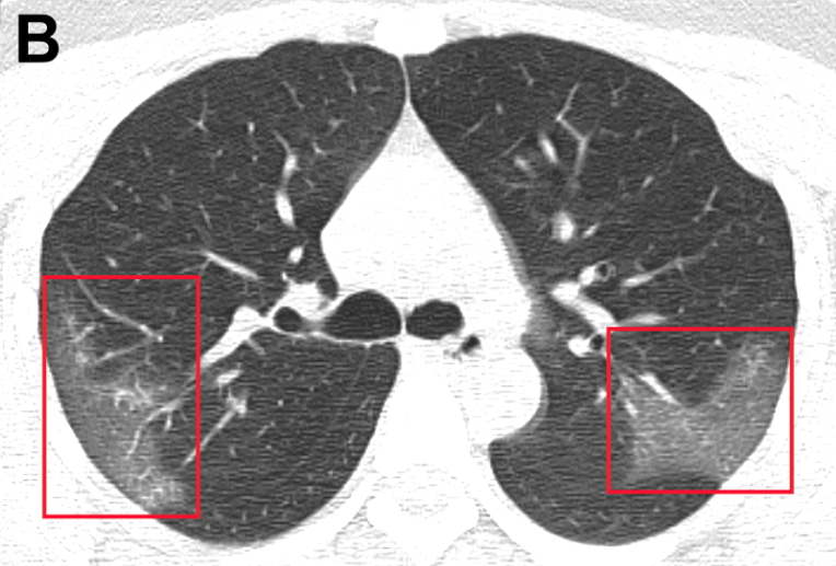
Características clínicas de los pacientes internados con neumonía por 2019-nCoV

10 febrero 2020

Cuadro febril con fatiga y tos seca, evoluciona a disnea en 5 días; presenta linfopenia, LDH elevada y tiempo de protrombina prolongado; tomografía con opacidad bilateral en vidrio esmerilado. El 26% requirió cuidados intensivo y el 4,3% falleció. JAMA, 7 de febrero de 2020

Neumonía por 2019-nCoV: datos de 425 casos

30 enero 2020

El período de incubación en esta serie con los primeros pacientes de China se estimó en 5,2 (4,1-7,0) días, con tiempo de duplicación de los casos de 7,4 días para esta fase inicial. New England Journal of Medicine, 29 de enero de 2020.

Categorias

Etiquetas