Farmacología
Seguridad psiquiátrica de la semaglutida para el control del peso en pacientes sin psicopatología importante conocida: análisis post hoc de los ensayos STEP 1, 2, 3 y 5
                    19 septiembre 2024
                
            
            Los resultados de este análisis post hoc sugieren que el tratamiento con semaglutida, 2,4 mg, no aumentó el riesgo de desarrollar síntomas de depresión o ideación/comportamiento suicida frente al placebo y se asoció con una reducción pequeña pero estadísticamente significativa de los síntomas depresivos (no considerada clínicamente significativa). Las personas con obesidad deben ser monitoreadas para detectar problemas de salud mental para que puedan recibir el apoyo y la atención adecuados. JAMA Intern Med, 3 de septiembre de 2024
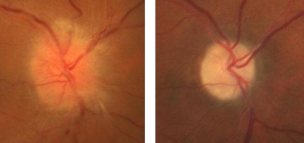
Riesgo de neuropatía oftálmica isquémica anterior no arterítica en pacientes que reciben semaglutida
                    08 julio 2024
                
            
            Este estudio de cohorte reveló un mayor riesgo de neuropatía óptica isquémica anterior no arterítica en pacientes a los que se les prescribió semaglutida en comparación con los pacientes a los que se les recetaron otros medicamentos para la diabetes o la obesidad. Se requieren con urgencia nuevos estudios para ver si se replican estos resultados y evaluar la causalidad. JAMA Ophthalmology, 3 de julio de 2024.
Tratamiento farmacológico de la obesidad
                    16 mayo 2024
                
            
            El lugar de la terapéutica de estos fármacos en la práctica clínica puede ser complejo, dado que las necesidades y expectativas de los pacientes pueden impulsar su prescripción temprana y en contextos cuya evidencia es escasa. El abordaje terapéutico de la obesidad debe incluir un enfoque integral que incluya un abordaje de todas sus posibles causas. Boletín Farmacológico, marzo de 2024.
Semaglutida en pacientes con insuficiencia cardíaca relacionada con la obesidad y diabetes tipo 2
                    08 abril 2024
                
            
            En los pacientes con insuficiencia cardíaca relacionada con la obesidad, con fracción de eyección conservada y diabetes tipo 2, la semaglutida produjo una mayor reducción en los síntomas relacionados con la insuficiencia cardíaca y en las limitaciones físicas, y una mayor pérdida de peso que el placebo al cabo de 1 año. New England Journal of Medicine, 6 de abril de 2024.
Continuidad temprana y tardía del tratamiento farmacológico de la obesidad
                    11 diciembre 2023
                
            
            