Farmacología

Trombectomía 6 a 24 horas después del accidente cerebrovascular con desajuste entre el déficit y el infarto

22 noviembre 2017

N Engl J Med, 18 de noviembre de 2017 Entre los pacientes con accidente cerebrovascular agudo que se sabía que estaban bien 6 a 24 horas antes, y tenían un desajuste entre el déficit clínico y el infarto, los resultados de la discapacidad a los 90 días fueron mejores con la trombectomía además de la atención estándar que con la atención estándar sola.

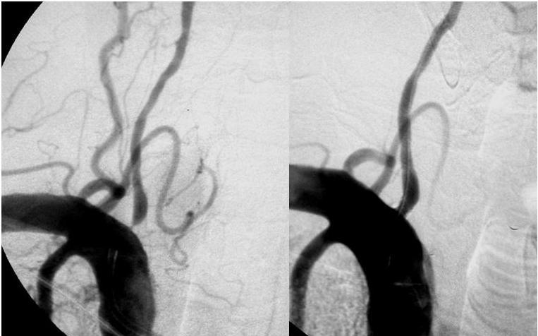
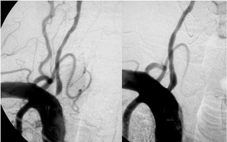
Stents en las arterias vertebrales: se precisan más estudios

09 octubre 2017

En pacientes con estenosis sintomáticas en el territorio vertebral el tratamiento con stents no fue superior al manejo médico óptimo. Neurology, 19 de septiembre de 2017

Nueva guía para el diagnóstico y tratamiento de la trombosis venosa cerebral

19 septiembre 2017

En esta patología, mucho menos frecuente que la enfermedad cerebrovascular de causa arterial, las evidencias son también menos concluyentes. La European Stroke Organization actualiza sus recomendaciones y señala las áreas de incerteza. European Journal of Neurology, agosto de 2017

Autoprendizaje sobre “Doble antiagregación plaquetaria”.: BTA test y casos clínicos

27 abril 2017

CADIME, 26 de abril de 2017 Esta propuesta formativa dirigida a los profesionales del Sistema Sanitario Público de Andalucía, permite la autoevaluación del aprendizaje y así se tranforma en una herramienta de actualización disponible ampliamente El test y el caso clínico sobre Doble antiagregación plaquetaria: Indicaciones y duración tienen como objetivo profundizar en el conocimiento de las indicaciones y la duración de este tratamiento, así como los antiagregantes plaquetarios que se recomiendan en las situaciones clínicas en las que está indicada esta terapia.

Alprostadil / Diclofenac: nuevas advertencias de seguridad en el Reino Unido

07 marzo 2017

Alprostadil: isquemia miocárdica y cerebral / Diclofenac ampollas: infección y necrosis en el sitio de inyección; colitis isquémica. emc, 3 de marzo de2017

Categorias

Etiquetas