Farmacología

Aspirina frente a clopidogrel para el mantenimiento a largo plazo tras la colocación de stent coronario en pacientes con diabetes.Análisis post hoc del ensayo HOST-EXAM

18 abril 2023

En este estudio, la monoterapia con clopidogrel se asoció con una tasa más baja del criterio principal de valoración compuesto en comparación con la monoterapia con aspirina como terapia de mantenimiento a largo plazo después de la terapia antiplaquetaria doble para la colocación de stents coronarios en pacientes con y sin diabetes. Por lo tanto, se podría considerar el clopidogrel en lugar de la aspirina en pacientes que se han sometido a la colocación de un stent coronario y han completado con éxito la terapia antiplaquetaria doble, independientemente del estado de la diabetes.JAMA Cardiol. 12 de abril de 2023

Intervención coronaria percutánea en angina estable, ensayo ORBITA): no es mejor que el placebo

03 noviembre 2017

Lancet, 2 de noviembre 2017 En pacientes con angina tratada médicamente y estenosis coronaria severa, la ICP no aumentó el tiempo de ejercicio más que el efecto de un procedimiento de placebo. La eficacia de los procedimientos invasivos se puede evaluar con un control con placebo, como es estándar para la farmacoterapia.

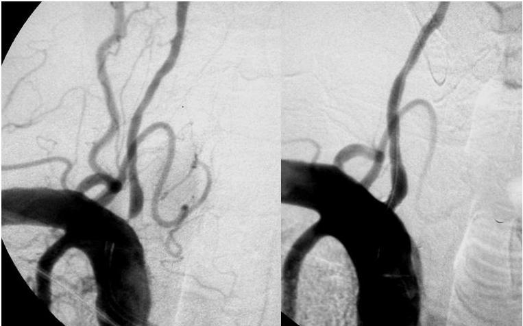
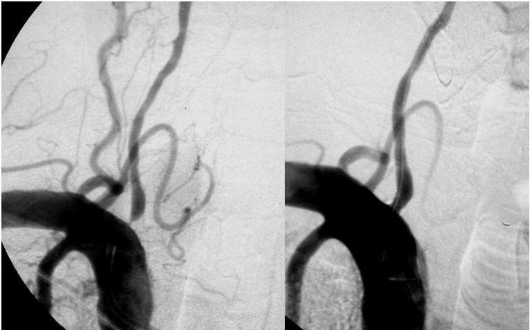
Stents en las arterias vertebrales: se precisan más estudios

09 octubre 2017

En pacientes con estenosis sintomáticas en el territorio vertebral el tratamiento con stents no fue superior al manejo médico óptimo. Neurology, 19 de septiembre de 2017

Autoprendizaje sobre “Doble antiagregación plaquetaria”.: BTA test y casos clínicos

27 abril 2017

CADIME, 26 de abril de 2017 Esta propuesta formativa dirigida a los profesionales del Sistema Sanitario Público de Andalucía, permite la autoevaluación del aprendizaje y así se tranforma en una herramienta de actualización disponible ampliamente El test y el caso clínico sobre Doble antiagregación plaquetaria: Indicaciones y duración tienen como objetivo profundizar en el conocimiento de las indicaciones y la duración de este tratamiento, así como los antiagregantes plaquetarios que se recomiendan en las situaciones clínicas en las que está indicada esta terapia.

Categorias

Etiquetas