Farmacología

Aumento de cáncer colorrectal entre los jóvenes

01 marzo 2017

Luego de muchas décadas de progresivo descenso, las tasas de cáncer colorrectal en EEUU para los nacidos alrededor de 1990 han vuelto a los niveles registrados cien años atrás. Journal of the National Cancer Institute, 28 de febrero de 2017

Uno de cada 6 adultos estadounidenses toma psicofármacos

13 diciembre 2016

Los antidepresivos son los más usados, seguidos por los ansiolíticos y, con menor frecuencia, antipscóticos. El uso es mayor en mujeres y por encima de los 60 años. JAMA Internal Medicine, 12 de diciembre de 2016

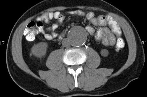
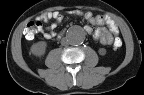
Aneurismas de aorta abdominal: más cirugías y menos mortalidad en EEUU

29 noviembre 2016

La tasa de cirugías para reparación electiva del aneurisma abdominal en EEUU duplica la de Inglaterra, pero la mortalidad por rotura aneurismática es tres veces menor. New England Journal of Medicine, 24 de noviembre de 2016

Desciende la prevalencia de demencia en EEUU

24 noviembre 2016

Entre 2000 y 2012 el porcentaje de mayores de 65 años con la enfermedad se redujo del 11,6 al 8,6%. JAMA Internal Medicine, 21 de noviembre de 2016

Categorias

Etiquetas