Farmacología

Médicos de atención primaria y mortalidad general

19 febrero 2019

En un estudio comparando los 3142 condados de EEUU se encontró que una mayor oferta de médicos de atención primaria se asocia con menor mortalidad. JAMA Internal Medicine, 18 de febrero de 2019

¿Cómo mejorar la adherencia a los tratamientos crónicos?

20 diciembre 2018

Entre un tercio y la mitad de los tratamientos crónicos no se cumplen según la pauta indicada. Esta revisión explora las alternativas de intervenciones para mejorar la adherencia. JAMA, 18 de diciembre de 2018

Discriminación asociada a la maternidad en las médicas: sus experiencias

17 diciembre 2018

Esta investigación recoge y sistematiza el testimonio de un millar de médicas con relación a cómo repercute su condición de madres en el ámbito de trabajo. BMJ, 12 de diciembre de 2018

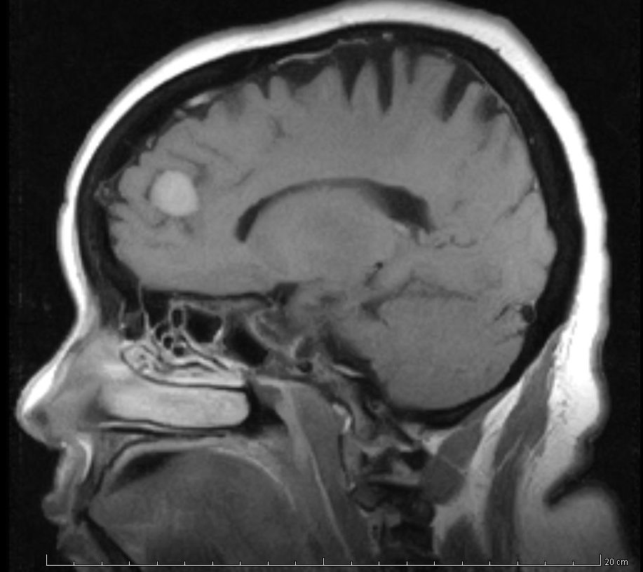
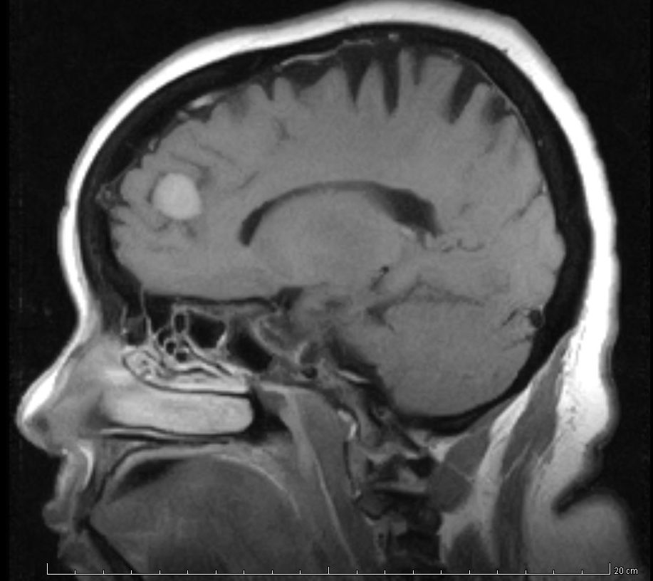
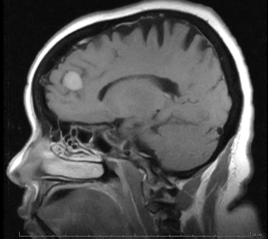
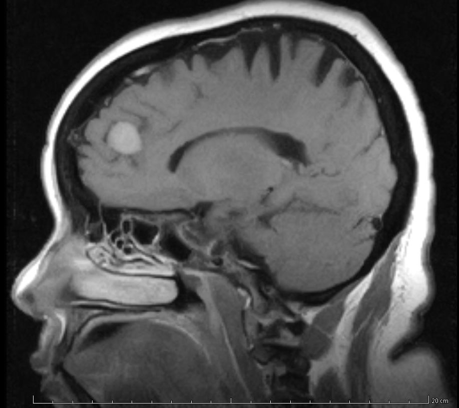
Hallazgos incidentales en resonancia magnética

26 noviembre 2018

Se revisa la frecuencia y la gravedad de los hallazgos inesperados en resonancias de cerebro, tórax y abdomen. British Medical Journal, 22 de noviembre de 2018

Sobrediagnóstico: Un mal que daña a nuestros niños

08 noviembre 2018

Se analiza la existencia y consecuencias del sobrediagnóstico en Pediatría, con propuestas para limitar sus efectos. Archivos Argentinos de Pediatría, octubre de 2018

Categorias

Etiquetas