Farmacología
Regulación de los análisis predictivos en medicina.
                    28 febrero 2019
                
            
            Science 22 de febrero de 2019proponemos cinco estándares para guiar la regulación de dispositivos basados en análisis predictivos e inteligencia artificial. Aunque existen estándares de investigación bien establecidos, como la Lista de verificación TRIPOD, para desarrollar y validar modelos de predicción multivariables en medicina (3), nuestros estándares proporcionan una guía reguladora para dichos algoritmos antes de la implementación en entornos clínicos.
Impacto del sobrediagnóstico y sobretratamiento en el paciente, el sistema sanitario y la sociedad
                    14 enero 2019
                
            
            Aten Primaria, noviembre de 2018 miento en relación con los factores que lo promueven y el impacto que tienen en la sociedad, en el funcionamiento del sistema sanitario y también directamente en los pacientes.
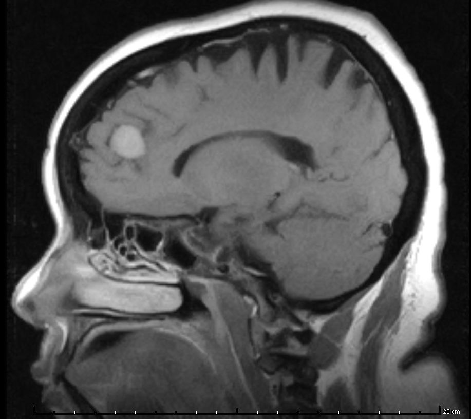
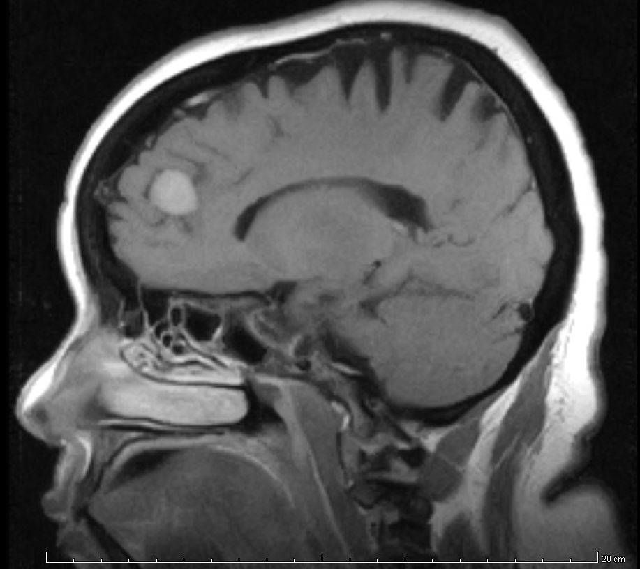
Hallazgos incidentales en resonancia magnética
                    26 noviembre 2018
                
            
            Se revisa la frecuencia y la gravedad de los hallazgos inesperados en resonancias de cerebro, tórax y abdomen. British Medical Journal, 22 de noviembre de 2018
Sobrediagnóstico: Un mal que daña a nuestros niños
                    08 noviembre 2018
                
            
            Se analiza la existencia y consecuencias del sobrediagnóstico en Pediatría, con propuestas para limitar sus efectos. Archivos Argentinos de Pediatría, octubre de 2018
Diez principios para un diagnóstico más prudente y cuidado
                    07 noviembre 2018
                
            
            